На здоровье зубов оказывает влияние содержание в дентине таких важных веществ, как фосфор, кальций, фтор. Переизбыток этих микроэлементов в твердых тканях может спровоцировать серьезные заболевания. Например, перенасыщенность фтором приводит к тому, что развивается флюороз зубов.
Что это такое?
Флюороз – заболевание хронического характера, вызванное длительным воздействием фтора в повышенных концентрациях.
Фтор откладывается и накапливается в организме, разрушая эмаль и кости. Постепенно кальций вымывается из твердых тканей и замещается нерастворимым соединением фтористого кальция.
Причины возникновения
Основные причины возникновения флюороза являются:
- повышенное содержание фтора в воде или воздухе;
- нехватка кальция в организме.
Для взрослого человека содержание фтора в воде не должно быть больше 6 мг на 1 л. Для ребенка такие дозы представляют опасность. Фтор в организме малыша начинает откладываться уже при концентрации 1 мг на 1 л.
На длительное употребление воды, содержащей фтор свыше 10 мг/л, организм человека любого возраста отреагирует деструктивными процессами, которые потребуют немедленного лечения.
Формы и стадии развития
В зависимости от способа попадания фтора в организм различают следующие формы флюороза:
- эндемический;
- профессиональный.
Флюороз зубов имеет 5 стадий в 3 степенях тяжести:
- Легкая – штриховая, пятнистая.
- Средняя – меловидно-крапчатая.
- Тяжелая – эрозивная, деструктивная.
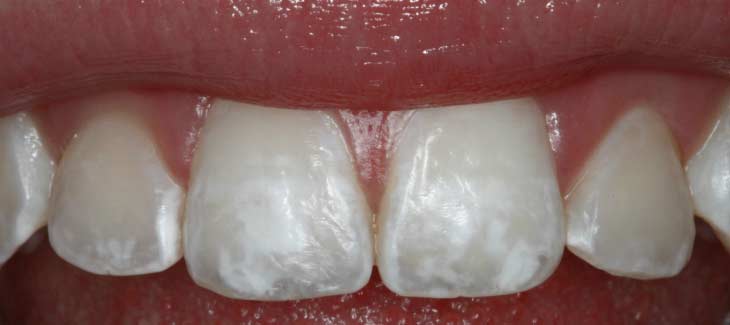
Штриховую стадию распознать без помощи специалиста нельзя. Она характеризуется появлением светлых полос на поверхности эмали, которые не видны невооруженным глазом.
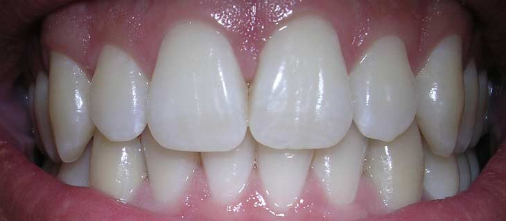
При пятнистой стадии белые штрихи сливаются в пятна, гладкие, блестящие, которые могут распространяться на весь ряд или отдельные участки.
На меловидно-крапчатой стадии начинается разрушение дентина, истирание эмали. Пятна приобретают желтый или светло-коричневый цвет, могут быть с вкраплениями.
Если флюороз не вылечить на легких стадиях, заболевание приобретает эрозивную форму. На эмали возникают множественные дефекты, на некоторых зубах наблюдаются оголенные участки. Области вокруг эрозии пигментированы и лишены блеска. Возникает температурная чувствительность.
Деструктивная стадия характеризуется полным разрушением дентина. При тяжелых формах происходит воздействие на кости скелета, может развиться атеросклероз, остеопороз, остеосаркома. Сопутствующие заболевания также необходимо отдельно лечить.
Профессиональный флюороз начинается с поражения костей. Фтор попадает в желудок через дыхательную систему, а затем всасывается в кровь. Для выявления заболевания проводят рентгенографию. На снимке выявляется остеопороз в позвонках, ребрах, тазовых и трубчатых костях.
Симптомы флюороза
- пигментирование эмали, появление белых, коричневых или желтых пятен;
- поражение коронок зубов;
- истирание эмали, наличие сколов;
- повышенное содержание фтора в анализе мочи;
- боли в суставах, снижение подвижности, мышечная слабость;
- остеопороз, остеосаркома, атеросклероз;
- нарушение функции печени;
- поражения вегетативно-нервной системы;
- профессиональное заболевание может сопровождаться хроническим насморком, воспалительными процессами в носоглотке и бронхах, возможны кровотечения.
Лечение
При обнаружении флюороза необходимо начинать немедленное лечение, которое должно включать в себя мероприятия по:
- реминерализации дентина;
- восстановлению структуры и цвета зубной эмали;
- контролю за концентрацией фтора в воде.
Следим за питанием
Для того чтобы компенсировать нехватку кальция и снизить содержание фтора в организме, нужно правильно питаться. Необходимо включать в рацион белки, витамины, обогащать приготовленную пищу солями кальция и фосфора. Обязательно должно присутствовать мясо птицы, бобовые, яйца, ягоды, фрукты, гречка, семечки тыквы. При этом следует снизить употребление жирного мяса, топленого масла, шпината, грецких орехов, морской рыбы и меньше пить черного чая.
Правильно выбираем зубную пасту
Фтор содержится в укрепляющих эмаль зубных пастах, поэтому от них также следует временно отказаться. Следует выбирать гигиенические средства, содержащие глицерофосфат кальция.
Рекомендации стоматологов
Стоматологи часто советуют пациентам принимать препарат Ремодент. Он эффективно восстанавливает твердую ткань зуба, подвергшуюся разрушению. Также врач может прописать препараты кальция, но самостоятельно назначать их себе не следует, потому что избыток этого микроэлемента также может быть опасен. Дополнительно пациенту может быть рекомендован витамин D, который влияет на усвоение фтора.
Для лечения легких стадий заболевания назначаются процедуры фотофореза и электрофореза и накладываются аппликации на зубы для восстановления минерального баланса. Также на этом этапе проводится осветление эмали. В качестве профессиональных процедур может быть применено лазерное, химическое или механическое аппаратное отбеливание. Если эмаль не оголена и не стерта, можно попробовать провести процедуру в домашних условиях с помощью народных средств (лимона, перекиси водорода, соды). Но нужно быть очень осторожными, чтобы не вызвать чувствительность зубов и не усугубить ситуацию.
Профессиональный флюороз
Лечение профессионального флюороза проходит сложнее, потому что необходимо бороться с проявлениями сопутствующих заболеваний. В качестве профилактики необходимо хотя бы раз в полгода−год проходить профосмотры и пользоваться защитными средствами.
Флюороз у ребенка
Особенности флюороза у детей
Детский организм острее реагирует на повышенное содержание фтора. Особенно опасна высокая концентрация этого микроэлемента в 4-летнем возрасте, когда происходит закладка коренных зубов. Чаще всего флюороз наблюдается в возрасте 6-12 лет. В группе риска находятся дети, выращенные на искусственном вскармливании и прикорме, а также малыши с ослабленным иммунитетом. Обычно это заболевание поражает постоянные зубы и очень редко молочные.
Симптомы флюороза у детей
Характер поражения зубной эмали у детей такой же, как и у взрослых. Выявить начальную стадию заболевания бывает сложно, потому что пятна на зубах почти незаметны. Но если ребенок страдает от избытка фтора с достаточно раннего возраста, то дефекты на зубах могут быть видны уже при прорезывании. Причем поражению подвергаются все новые зубы, а не отдельные, как это можно наблюдать при кариозном разрушении.
Часто флюороз у детей начинается с появления первых пигментированных пятен на малых коренных зубах и верхних резцах.
Лечение и профилактика флюороза у детей
Родители должны знать не только симптомы флюороза у детей, но и как предотвратить это заболевание.
- Необходимо регулярно брать пробы питьевой воды.
- Ребенок должен хорошо и правильно питаться. В его рационе должны обязательно присутствовать фрукты, овощи и молочные продукты.
- Новорожденным нужно давать только чистую воду. Можно заменять ее молоком и соками.
- Необходимо следить, чтобы ребенок не чистил зубы взрослыми средствами и никогда не глотал даже свою пасту.
- Принимать фтор следует только по назначению врача.
- Хотя бы раз в год (можно чаще) ребенок должен ходить на профилактические осмотры к дантисту.
При выявлении флюороза у малыша специалист назначит такое же лечение, как и для взрослых, т. е. отбеливающие процедуры и мероприятия по реминерализации эмали.
Флюороз опасен, но хорошо поддается лечению. Если обнаружить заболевание на начальных стадиях, можно избежать серьезного разрушения эмали.

