Редактор
Неля Савчук
Врач высшей категории
Плевродиафрагмальные спайки – это разросшиеся соединительные ткани, находящиеся между серозными оболочками полости плевры (ткань, покрывающая стенки грудного отдела и легких).
Уплотнения в легких могут быть как единичными, так и множественными. Нередко остаточные изменения становятся результатом ранее перенесенного воспаления легких.
В медицине они имеют и другие названия – синехия, плевропульмональная шварта или комиссура. Тотальное количество шварт приводит порой даже к полному срастанию соединительных тканей, что вызывает массу негативных последствий, в виде болевых ощущений и острой дыхательной недостаточности.
Механизм формирования
Образоваться спайки могут везде, где есть соединительная ткань. Причиной их возникновения, как правило, становится перенесенный воспалительный процесс, например, пневмония или плеврит. Развитию синехий также способствуют остротекущие бронхиты, поражение легкого паразитами, наличие саркомы, туберкулез, а также курение, травмы и онкология.
Спаечный процесс в легких
Еще одним фактором возникновения разрастаний является вдыхание вредных веществ, например, на химических предприятиях. Появляются спайки в результате слишком большого скопления жидкости в плевральной оболочке, что приводит к откладыванию фибрина (нерастворимый волокнистый белок), который в процессе выздоровления не исчезает и формируется в шварту.
Внимание! Опасность наличия спаек в легких заключается в возможном инфицировании срастаний соединительных тканей, что приводит к новообразованиям.
Симптомы
Симптоматика наличия спаек довольно схожа с признаками воспаления легких. Но заподозрить у себя наличие этой патологии вполне возможно. Наиболее частыми проявлениями являются:
- Появление острой боли при дыхании.
- Одышка при физических нагрузках.
- Повышение температуры.
- Беспричинное учащение сердцебиения.
- Бледность кожных покровов.
- Ощущение тяжести при вдохе и выдохе.
- Усиленный частый кашель.
- Головные боли.
- Слабость, сонливость.
- Проблемы с когнитивными способностями.
Перечисленные симптомы ни в коем случае нельзя оставлять без внимания, так как они могут быть причиной не только спаечных процессов, но и указывать на присутствие других заболеваний.
При образовании большого количества спаек может постепенно возникнуть дыхательная недостаточность – когда пациенту тяжело дышать, одышка усиливается. В результате физической нагрузки возможен приступ удушья, требующий неотложной помощи.
Диагностика
Выявить спайки без надлежащего обследования врача невозможно. Диагностирование начинается с устного опроса больного на предмет заболеваний в анамнезе, таких как бронхит или пневмония. Обязателен и вопрос о наличии перенесенных операций или травм грудины. После этого доктор проводит пальпацию, то есть ощупывает пальцами грудную клетку и осматривает пациента. Затем, при необходимости, назначается более подробная диагностика.
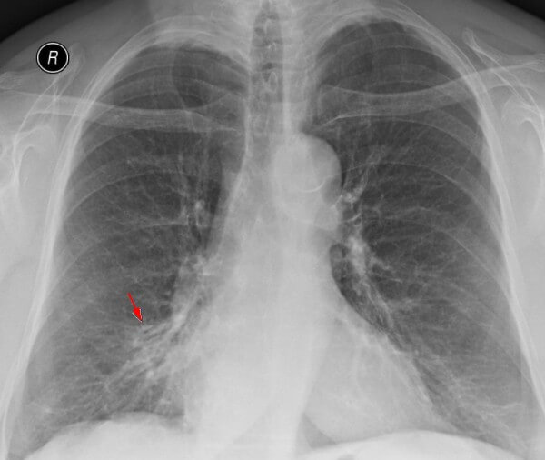
Самым распространенным методом диагностики легких является – флюорография. Но если врач подозревает, что у пациента есть спайки, то больной отправляется на рентген. По рентгеновскому снимку распознать синехию можно по мутным темным пятнам. Она выглядит, как теневое затемнение и неподвижна при вдохе и выдохе.
Плевродиафрагмальная спайка на снимке рентгена
Иногда выявляется деформация грудной клетки и диафрагмы. Чаще всего спаечный процесс отмечается в нижней части легкого. Такой вид спаек – плевродиафрагмальный, а вид спаек в верхней части – плевроапикальный.
Лечение
Лечение спаек основывается на запущенности процесса и причин, приводящих к его развитию. В период обострения у больных наблюдается слабая дыхательная активность, вследствие этого проводятся различные мероприятия, основанные на подавлении гнойно-воспалительного процесса, а также санация дыхательных путей. Процедура состоит в откачивании скопившейся жидкости через специальную трубку. Обязателен и прием антибиотиков, вводимых внутримышечно или внутривенно. В некоторых случаях такие препараты инфузируют эндобронхиальным введением во время санации.
Сращения, появляющиеся после воспалений, нередко покрывают практически всю зону легкого. Из-за растянутых тяжей, тотально локализованных по всей области плевры, человеку становится трудно дышать, вентиляция легких нарушается, что приводит к кислородному голоданию.
В этом случае назначается хирургическое вмешательство – лапароскопия. Операция основывается на разделении спаек посредством выжигания или разрезания сросшихся тканей. Методика проводится только в самых запущенных случаях, когда лечебный массаж и физиотерапия не оказывают должного эффекта.
Полезно знать! Лапароскопия – малоинвазивное вмешательство, основанное на введении специального инструмента – торакоскопа, с помощью которого можно не только осмотреть всю плевральную полость без касания к органам, но и удалить мелкие узлы и спайки.
Иногда может понадобиться удаление всего легкого. В таком случае полностью убирают пораженный спайками плевральный лист и ту долю легкого, которая находится под ним. Такое вмешательство очень тяжелое, после него пациенту необходимо постоянно соблюдать некоторые ограничения и придерживаться особой диеты.
Рекомендована умеренная физическая нагрузка – плавание, прогулки пешие и велосипедные. Нужно потреблять меньше соленого, перченого, жареного, фаст-фудов, острого. В рационе должна быть пареная и вареная пища, много жидкости, свежие фрукты и овощи.
Важно есть много белка – кисломолочные продукты, молоко, мясо белых сортов, яйца. Такой образ жизни и питание будут способствовать постепенному рассасыванию спаек и улучшению общего состояния пациента.
При развитии спаечного процесса целесообразен прием антибиотиков, так как принципом устранения сращиваний, является избавление от причины заболевания. В основном болезнь носит инфекционный характер, что дает «благодатную почву» для разрастания спаек. Терапия также включает в себя прием отхаркивающих препаратов, так как при спаечном процессе выход накапливаемого секрета затруднен. Для снятия отеков и уменьшения воспаления назначают противовоспалительные препараты и щелочное питье.
Читайте также:
Бледность кожных покровов при пневмонии
Заключение
Диагностировать, и тем более самостоятельно лечить спайки легких нельзя и даже опасно. После перенесенной пневмонии любые симптомы, проявляющиеся даже не слишком отчетливо, являются поводом для похода к врачу. Воспаление легких – заболевание серьезное, и последствия оно несет не менее значительные.
Спаечный процесс после неграмотно пролеченной пневмонии – явление частое и коварное, так как синихеи могут развиваться очень медленно, не вызывая никаких подозрений по поводу их наличия в легких. Постоянный контроль за своим здоровьем гарантирует своевременное избавление от негативных осложнений.
Рубцы после пневмонии появляются практически у каждого пациента. Они могут быть маленьких размеров и не влиять на работу органа, но встречаются и большие рубцы, значительно ухудшающие работу всей дыхательной системы. Поэтому после лечения пневмонии следует внимательно относиться к своим ощущениям.
Появление боли в легких после пневмонии
Болезненные ощущения в легких после болезни свидетельствует о том, что воспаление не устранено полностью, и появились шрамы на органах. При этом больной может ощущать небольшие покалывания во время вдоха или страдать от острых приступов.
Этот процесс сопровождается учащенным сердцебиением и одышкой. Клиническая картина зависит от тяжести течения пневмонии и эффективности лечения.
Если после перенесенного воспаления беспокоят боли, то, скорее всего, начались спаечные процессы в легочной ткани. Спайки – это патологические сращения, которые образуются после инфекционных заболеваний в хронической форме, травм, внутренних кровотечений.
Пневмония может привести к срастанию листков плевры. Один лист выстилает грудную клетку, а другой – легкое. Если воспалительный процесс из легких перетекает в плевру, то происходит выброс фибрина, который приводит к склеиванию. Именно так и образуются спайки.
В таких случаях они бывают одиночные и множественные. В тяжелых состояниях вся плевра может быть покрыта спайками. Это приводит к ее смещению и деформации, затруднению дыхания.
Встречается тяжелое течение патологического процесса, при котором развивается острая дыхательная недостаточность. Процесс образования рубца на легком также сопровождается болью. Такие шрамы значительно нарушают работу легких.
Факторы, провоцирующие рубцевание легочной ткани
Легочные рубцы сопровождаются появлением одышки и нарушением дыхательной функции. Особенно состояние больного ухудшается после физических нагрузок. Аускультация показывает наличие сухих хрипов. У человека наблюдается сухой кашель (или с незначительным выделением мокроты).
Из-за нарушений дыхания в организм не попадает достаточно кислорода. Это негативно отражается на процессе кровообращения. Кожный покров бледнеет, а область носогубного треугольника синеет. Повышается риск развития сердечной недостаточности.
Формирование рубцовой ткани на поверхности легких может происходить в результате:
Формирование рубцовой ткани на поверхности легких вызвана туберкулезом
- бактериальных заболеваний в виде туберкулеза и пневмонии;
- грибковых поражений;
- отравления токсинами, ядами, химическими веществами;
- загрязнения окружающей среды;
- затянувшихся аллергических заболеваний;
- заражения паразитами: эхинококком, токсоплазмами, амебами;
- аутоиммунных нарушений;
- вредных привычек (курение на протяжении длительного времени).
Встречаются также врожденные формы фиброза. Их причины неизвестны, и лечения нет. Рубцы в этом случае устранить нельзя. От того, какого размера шрам на легком, и сколько появилось рубцов, зависит, как будут работать органы дыхания.
Небольшие шрамы на легком после воспаления не угрожают жизни и здоровью человека. Но если появились большие рубцы, это вызовет необратимые нарушения, среди которых и цирроз легких.
Появление рубцов после воспаления легких
Пневмония является опасным заболеванием, от которого в год умирают миллионы людей. Оно опасно серьезными осложнениями. Самыми распространенными среди них являются легочные рубцы. Шрамы на легких появляются в результате образования соединительной ткани на месте легочной.
При быстром поражении легких во время воспаления организм не успевает образовывать новые клетки и «латает» поврежденные участки соединительными клетками. Они быстро делятся, но не эластичны и не способны усваивать кислород. Так появляются шрамы.
Рубцы после пневмонии приводят к снижению эластичности органов и снижению насыщения кислородом. При этом легкие не могут поглощать достаточное количество воздуха, из-за чего страдает весь организм.
Полностью устранить шрамы нельзя. Но если рубцы имеют большие размеры и нарушают работу дыхательной системы, необходимо провести хирургическое удаление.
Для повышения эластичности образовавшихся рубцов назначают физиотерапевтические процедуры и легочную гимнастику, но добиться хорошего эффекта от такого лечения можно только на ранних стадиях развития болезни, пока шрамы еще не огрубели.
Если рубцы небольшие и восстановительные процедуры проведены вовремя, то они практически не принесут дискомфорта пациенту и не вызовут болезненных ощущений.
Пневмония сопровождается не только рубцеванием легочной ткани.
Другие осложнения
Сильное воспаление приводит к образованию спаек из соединительной ткани во время рубцевания.
Рубцы вызывают дыхательную недостаточность
О спаечном процессе можно судить, если после пневмонии беспокоят болезненные ощущения в грудной клетке. Боль возникает потому, что при наполнении воздухом легкие растягиваются, и тянут шрамы.
Для лечения обычно применяют физиотерапевтические процедуры и медикаменты. Запущенные состояния вызывают легочную недостаточность и приводят к смерти больного.
Если не проводить лечение пневмонии, то воспаление тканей сопровождается образованием обширных гнойных полостей и очагов некроза. Гнойное поражение проявляется сильной лихорадкой и токсическим поражением организма.
Читайте также:
Дренажный массаж ребенку при пневмонии
Рубцы и шрамы могут вызывать дыхательную недостаточность. Ее еще называют синдромом апноэ. При этом нарушается газообмен в легочной ткани и плохо усваивается кислород. Трудности с дыханием могут являться основной причиной этого осложнения.

Способы лечения
Если появился рубец на легком, то применяют комплекс терапевтических мероприятий для облегчения состояния больного. Устранить шрамы можно только на начальных стадиях развития.
Медикаментозное лечение
Пациент должен принимать цитостатики, глюкокортикостероиды, антифиброзные препараты. Они устраняют шрамы и рубцы. Так как воспалительный процесс в легких сопровождается отравлением организма токсическими веществами, то для устранения вреда больному назначают активированный уголь, Полифепан, Витамин E.
А также не помещает употребление иммуностимулирующих средств. Они не только приостановят процесс образования шрамов, но и защитят организм от воздействия других вирусов и бактерий. Такого эффекта добиваются применением настойки лимонника, женьшеня, элеутерококка.
Кислородная терапия
Эта методика основана на применении кислорода в лечебных целях. С его помощью устраняют гипоксию при дыхательной недостаточности, возникшей, если появился рубец на легком. Процедура также позволяет улучшить репаративные процессы и трофику тканей. Кислородная терапия оказывает многостороннее действие на организм, но главный ее лечебный эффект – возмещение недостатка кислорода в тканях.
При дыхательной недостаточности применение оксигенотерапии повышает напряжение кислорода в альвеолярном воздухе и плазме крови. Это уменьшает одышку, повышает концентрацию гемоглобина в крови, приводит к снижению метаболического ацидоза, нормализует артериальное давление и сердечную деятельность, уменьшает шрамы.
Физиотерапевтические процедуры
Они способствуют увеличению клеточного иммунитета. Для снятия воспаления, предотвращения образования шрамов на легких, увеличения эффективности медикаментов проводят электрофорез. В ходе процедуры используют Лидазу, которая рассасывает рубцы и спайки. А также применяют Эуфиллин и экстракт алоэ, увеличивающие дыхательную область и укрепляющие иммунитет.
Сочетание этой процедуры с витаминными комплексами значительно снижает риск развития осложнений вроде шрамов и спаек. Положительного результата добиваются с помощью ингаляций небулайзером. Они избавляют от кашля, отеков.
Физические занятия
Чтобы устранить шрамы после пневмонии, назначают также лечебную гимнастику. Ее разрабатывают в индивидуальном порядке, исходя из состояния больного. Начинают лечение рубцов на легких с упражнений для тренировки дыхания. Постепенно нагрузку увеличивают. Проведение лечебной гимнастики разрешено только после устранения признаков интоксикации организма. Еще чтобы устранить шрамы, рекомендуют плавание, спортивную ходьбу, бег.
Народные методы лечения
Такая терапия основана на приготовлении отваров и настоев из лекарственных растений. Они позволяют улучшить состояние при наличии шрамов и рубцов. Но применять травы без разрешения врача нельзя.
Народное лечение рубцов
Радикальное лечение
Методом, позволяющим устранить рубец на легком, является хирургическое вмешательство. Этот вариант применяют, когда шрамы занимают большой участок легкого. Процедуру проводят, если больного беспокоят проявления гипоксии во время физических нагрузок, уменьшился объем легких до показателей ниже необходимого для нормальной жизнедеятельности. Показанием к операции является также тяжелая степень дыхательной недостаточности. Рубцы при этом удаляют вместе с участками тканей.
Профилактические мероприятия
Чтобы на легких не образовывались рубцы после перенесенного воспалительного заболевания, необходимо:
- Устранить влияние провоцирующих факторов. Больной должен огранить себя от всего, что может оказывать раздражающее действие на легочную ткань.
- Необходимо избавиться от вредных привычек, сменить профессию, если она связана с вдыханием токсических веществ.
- Если профессиональная деятельность требует нахождения в условиях с загрязненным воздухом, следует применять специальное защитное оборудование.
- Следует вовремя проводить лечение заболеваний инфекционного происхождения.
- Рекомендуется вести активный образ жизни.
- Необходимо больше времени проводить на свежем воздухе.
- Нельзя употреблять лекарства, которые способны вызвать рубцевание в тканях легких.
Если соблюдать все правила, то можно избежать развития формирования рубцов и шрамов на легких и улучшить общее состояние организма после пневмонии.
Видео по теме: Пневмония
https://youtube.com/watch?v=xZBwIW7nyPk
Большое распространение легочных заболеваний объясняется тем, что они, как правило, сопутствуют сезонным вирусным болезням. Редко кому хотя бы раз в год удается не заболеть ОРЗ или гриппом. В результате могут в легких могут образовываться плевральные спайки, которые негативно влияют на работу всего организма.
Чтобы не запустить заболевание, нужно вовремя обратиться к врачу, который поставит диагноз и назначит лечение.
- Народные методы
Причины болезни
Спайки образуются в плевральной полости, которая находится между оболочками, покрывающими внутреннюю сторону грудной клетки и внешнюю сторону легких. Эта оболочка представляет собой гладкую поверхность с большим количеством нервных окончаний. Она заполнена жидкостью, которая выделяется на поверхности плевры, покрывающей грудную клетку, после чего всасывается через оболочку, прилегающую к легким.
Плеврит
Причины, приводящие к заболеванию плевры, бывают самыми разнообразными. Воспалительные процессы, протекающие в организме, могут привести к тому, что увеличивается количество образующейся жидкости. При этом выделяется белок, который оседает на поверхности плевры, делая ее шершавой. При глубоком дыхании поверхности трутся, раздражая нервные окончания, что приводит к возникновению кашля и болей в боках грудной клетки. Такая симптоматика характерна для такого заболевания как плеврит.
Иногда излишек жидкости в плевральной полости доходит до полутора литра. Такое увеличение происходит при повреждении оболочки легкого, когда жидкость не впитывается.
Это может привести к сжатию легкого, в результате чего у человека появляется отдышка, затрудняющая дыхание и вызывающая тяжесть в боках. Такие симптомы чаще всего сопутствуют болезням почек или сердечной недостаточности, также такая картина возможна при развитии туберкулеза или опухоли.
Читайте также:
Как симулировать пневмонию на снимке
Однако развитие болезни плевры необязательно связано с образованием избыточной жидкости в ней, хотя такие заболевания наиболее проблематичны. Причиной болезни могут быть плевральные спайки. Даже их незначительное количество может доставлять при дыхании боль. Образуются спайки после воспаления, когда рассасывается образовавшаяся при этом жидкость.
Бывают случаи, когда спайки образовываются в большом количестве, при этом уменьшается свободное пространство. Это также приводит к снижению подвижности оболочек, что способствует сильной отдышке и затруднению дыхания. В таких случаях необходимо срочное лечение.
Спайки в легких
Они образуются в любом месте благодаря наличию соединительной ткани. Образованию спаек подвержены многие органы человеческого организма.
В плевре спайки представляют собой соединительную ткань, растущую между оболочками легкого и грудной клетки.
Они могут иметь единичную структуру, а могут так разрастаться, что в конечном итоге занимают всю плевральную полость. В этом случае нужна экстренная медицинская помощь.
Симптомы, которые возникают при наличии в плевральной полости спаек:
- повышенное сердцебиение,
- отдышка,
- боли в грудном отделе,
- нарушение вентиляции легких,
- усиленный кашель,
- бледная кожа,
- повышенная температура.
Как правило, образованию спаек предшествуют перенесенные легочные заболевания, которые служат толчком к их развитию. Выделяют основные болезни, которые являются первопричиной образования спаек:
- воспаление легких,
- бронхит,
- туберкулез,
- рак легких,
- плеврит,
- пневмония,
- инфицирование легких,
Среди плевральных спаек можно выделить плевродиафрагмальные спайки, которые располагаются в нижней части грудной клетки. В основном толчком для их развития служат заболевания бронх. Рубцы образовываются в местах прилегания легкого к диафрагме.
В небольшом количестве спайки не представляют опасности, однако нужно избегать вирусных заболеваний, которые провоцируют их развитие и увеличение количества. Что в конечном итоге может привести к легочной недостаточности.
Разрастаясь, спайки способны снизить кровообращение в легких, перекрывая сосуды, а также бронхи. Перекрытие бронхов, приводит к снижению уровня кислорода в крови. В спайках при длительном развитии возможно образование собственных сосудов и нервов.
Плевропульмональные рубцы, как правило, можно отнести к туберкулезным изменениям. В основном они происходят в верхней части плевры, причем на рентгене имеют прерывистый неровный вид. Такой спаечный процесс может происходить при хронических инфекционных болезнях.
Плеврокостальные спайки в основном образовываются после фибринозных или гнойных плевритов, причем они развиваются очень быстро. Образующиеся утолщения плевры в основном происходят в боковых отделах, на стенках, по направлению к поверхности ребер легкого.

Диагностика и лечебные мероприятия
Для обнаружения легочных заболеваний в первую очередь используется флюорография. Эту процедуру необходимо проводить ежегодно, в основном она направлена на выявление ранней стадии туберкулеза. Однако опытный рентгенолог может выявить на снимке образовавшиеся плевральные спайки, которые выглядят тенями. Причем форма их не меняется в зависимости от вдоха и выдоха.
При необходимости дополнительно назначается рентген. Как правило, спайки располагаются в нижней части легкого. При этом будет более темная картинка, а также может быть частичная деформация грудной клетки и диафрагмы.
При диагностировании плевральных спаек дальнейшее лечение зависит от их количества и стадии развития. Как правило, достаточно терапевтического воздействия сопровождающегося физиопроцедурами.
Однако в случае запущенности болезни, когда развивается легочная недостаточность, и возникает угроза жизни пациента, применяется хирургическое вмешательство. При этом удаляется часть легкого, которую заполняют спайки. Такая операция получила название лобэктомия.
При обострении воспалительных процессов в легких, которые приводят к образованию спаек, нужно, прежде всего, их локализовать. Для этого используются антибиотики, которые вводятся внутривенно или внутримышечно. Как правило, такие процессы сопровождаются кашлем, поэтому необходимы препараты улучшающие отхождение мокроты.
После того, как воспаление будет остановлено, можно начинать ингаляции и электрофорез. Также при образовании плевральных спаек хорошо зарекомендовали себя дыхательная гимнастика и массаж грудной клетки.
Важно отметить, что при легочных заболеваниях большую роль играет правильное питание.
В рацион необходимо включать продукты, содержащие большое количество витаминов и белков. В меню пациента должны быть:
- рыба,
- творог,
- мясо,
- овощи,
- фрукты.
При предрасположенности организма к легочным болезням рекомендуется периодически проходить курортное лечение. Это будет способствовать оздоровлению организма. Также следует не подвергать организм переохлаждению, заниматься спортом и отказаться от вредных привычек.
Народные методы
Кроме лекарственных препаратов при борьбе со спайками хорошо использовать народные средства. Они недорогие, к тому же не нагружают организм как лекарства, и кроме того весьма эффективны. Вот некоторые рецепты, которые позволят избавиться от спаек:
-
Для приготовления чая используют шиповник, крапиву и бруснику.
Перемешав составляющие, их заливают кипятком и настаивают. Также хорошо помогает отвар, в который входят смородина, шиповник и малина.
- Эффективным средством показал себя отвар из зверобоя. Его легко можно собрать самостоятельно, а затем высушить и измельчить.
- Быстро помогает восстановить дыхание и избавиться от кашля применение эфирных масел.
Следует помнить, что нельзя заниматься самолечением, это может привести к необратимым процессам. Прежде всего, необходима консультация специалиста.
https://youtube.com/watch?v=BrunJxw7Tco
Загрузка…





















