Нередко у детей и взрослых присутствует желто-серый зубной налет, который невозможно удалить с помощью чистки. Этот дефект носит название «тетрациклиновые зубы». Почему возникает заболевание и как можно с ним бороться?
Что такое тетрациклин?
Тетрациклин – это мощный антибиотик. Он входит в состав множества разных лекарственных препаратов, которые прописывают больным при следующих заболеваниях:
- пневмония;
- кожные сыпи различного происхождения;
- холера;
- язвы.
В виде таблеток вещество проникает в глубинные слои костной ткани. Поскольку эмаль содержит кальций, она тоже страдает от данных препаратов. Тетрациклин, как и его аналоги метациклин, доксициклин, моноциклин, по химической формуле напоминают костную ткань человека.
Если принимать вещество большими порциями, можно получить не только цветную окраску, но также гипоплазию эмали.
Причины заболевания
В качестве главной причины заболевания можно выделить непосредственное попадание в организм тетрациклина. После приема в виде таблетки это вещество примерно через 2 часа проникает в эмаль, вытесняя из нее кальций.
Дозу вещества можно получить еще, находясь в утробе через кровь матери, если она употребляла соответствующие препараты. Поскольку данное вещество не выводится из организма, оно постепенно откладывается в костях плода. Если дозы препарата были большими либо мать принимала лекарства слишком долго, эмаль ребенка оказывается недоразвитой. Многим это кажется косметическим дефектом, и они стараются провести процедуру отбеливания самостоятельно. Однако эффект наблюдается незначительный, потому что лечить необходимо внутреннюю проблему.
Провоцирующие факторы и группы риска
Сильнее всех заболеванию подвержен ребенок, мать которого принимала препараты с тетрациклином на стадии формирования челюсти у плода. Также в группе риска – дети младше 12 лет, поскольку их эмаль еще не до конца сформирована. Однако если взрослый человек будет принимать тетрациклин в течение длительного времени или в больших дозах, то его зубы тоже окрасятся, несмотря на то, что уже окрепли.
Тетрациклиновые зубы диагностируются сразу при рождении, но причин, которые вызывают окраску эмали, можно выделить гораздо больше:
- побочный эффект от какого-либо лекарства;
- индивидуальная реакция на внешний раздражитель;
- реакция на ультрафиолет;
- употребление продуктов с искусственными красителями;
- аллергии разных происхождений.
Виды окрашивания
После окрашивания тетрациклиновые зубы приобретают новый оттенок – от желтого и оранжевого до коричневого, бурого, серого. По интенсивности пигментации выделяют 3 формы заболевания:
- Слабое равномерное окрашивание (желтый, лимонный цвета).
- Окрашивание средней интенсивности (желтый, бурый, серый цвета).
- Глубокое окрашивание (синие, серые горизонтальные полоски).
В большинстве случаев окрашивание происходит неравномерно — в виде пятен какого-либо цвета. При воздействии малых доз тетрациклина образуются желтые включения. Если же принимать это вещество очень большими дозами, можно усилить пигментацию, причем она будет хаотичной: коричневыми станут только основания, или темно-серыми — одни кончики. Равномерное окрашивание встречается гораздо реже.
Способы отбеливания
Для того чтобы отбелить зубы, первым дело необходимо выяснить причину окрашивания. Диагностика проводится легко и быстро: стоматолог использует ультрафиолетовую лампу. Тетрациклин, если он присутствует, станет ярко светиться.
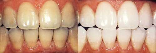
Эффект от процедуры отбеливания будет зависеть от интенсивности пигментации. Если эмаль окрашена сильно и хаотично, удастся лишь слегка ее осветлить. Результат продлится максимум полгода, после чего придется снова посетить кабинет стоматолога. В самых тяжелых случаях результата от отбеливания вообще нет; единственным выходом становится реставрация. Если же окрашивание менее интенсивно, процедуру отбеливания получится провести даже в домашних условиях.
Перед любым видом отбеливания проводится ультразвуковая чистка, которая осветляет эмаль и убирает налет и бактерии. Затем проводится одна из следующих процедур:
- фотоотбеливание;
- внутриканальное отбеливание;
- надевание кап с гелем;
- установка виниров, люминиров.
При фотоотбеливании эмаль покрывают гелем, который затем активируют с помощью специальных ламп. Изначальный цвет осветляется на 10-12 оттенков.
Метод внутриканального осветления используется в комплексной терапии при наличии стоматологических заболеваний. Отбеливающее средство вводят в зубной канал, после чего закрывают временной пломбой. Так удается осветлить даже внутренние ткани.
Для того чтобы отбелить зубы в домашних условиях, нужно заказать у стоматолога индивидуальные капы с гелем, которые надеваются на ночь.
Выбор средств отбеливания зубов, который предоставляет современная медицина, огромен. Однако важно помнить, что тетрациклиновые зубы — это не просто косметический дефект, лишающий уверенности в себе, а сигнал о развитии какой-то патологии в организме. Поэтому вовремя обратившись за квалифицированной медицинской помощью, вы вернете себе не только красивую улыбку, но и здоровье.


