Появление дефектов эмали свидетельствует о том, что под воздействием различных факторов происходит разрушение костной структуры. Белые пятна на зубах часто сопровождают стоматологические заболевания, поэтому на этот косметический изъян стоит обращать внимание.
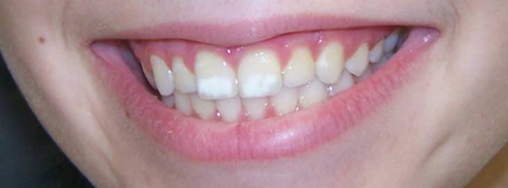
Белые пятна, точки или полоски на эмали могут появиться как у взрослых, так и у детей. Пигментация может затрагивать один или несколько зубов, или распространяться по всему ряду. На начальной стадии пятна обычно незаметны, но постепенно они становятся матовыми и область поражения тускнеет, пропадает блеск. Структура эмали также меняется – она приобретает пористость.
Причины
Белые пятна на зубах могут возникнуть по следующим причинам:
Флюороз
Флюороз – это заболевание, характеризующееся переизбытком в организме фтора. Фтор – важнейший компонент в костной структуре, но слишком большое его количество приносит вред организму. При флюорозе пигментация поражает вначале несколько зубов (начиная обычно с резцов и передних зубов), затем переходить на остальные. Со временем пятна темнеют до коричневого оттенка.
Кариес
Меловидные пятна предвосхищают появление кариеса. Они могут являться первой стадией разрушения эмали. Если вовремя принять меры, то можно сохранить зуб здоровым с помощью консервативного метода. Если игнорировать белые пятна на зубах, то через некоторое время очаг поражения потемнеет. Кариозное разрушение вызывает локальную пигментацию и появляется чаще всего в боковой и пришеечной области.
Гипоплазия
Гипоплазия – это недоразвитость зубов. Она возникает под воздействием микроорганизмов на плод в период нахождения его в утробе.
Самые распространенные причины гипоплазии у ребенка:
- перенесенные во время беременности вирусы;
- краснуха;
- тяжело протекающий токсикоз;
- заболевание кишечного тракта у беременной.
Белые пятна, возникающие из-за гипоплазии, появляются у детей при прорезании коренных зубов, но могут проступить и на молочных. Дефект является генерализованным, т. е. проявляется на большом количестве зубов. Вместе с пигментацией на эмали можно заметить бороздки и углубления.
Травмирование эмали
Травмы зубов также становятся частой причиной возникновения меловидных пятен. Эмаль легко повредить во время ношения ортодонтических конструкций типа скоб или колец. Помимо механического воздействия, на состояние зубов оказывает влияние налет, скапливающийся в труднодоступных местах, до которых тяжело добраться во время чистки. Часто дефект становится заметным после снятия конструкции.
Лечение
Лечение пятен, вызванных флюорозом
Если пигментацию вызывает избыток фтора, то следует ограничить поступление этого микроэлемента в организм. Обычно флюороз возникает при повышенном содержании фтора в воде, воздухе на промышленных предприятиях, одновременном приеме микроэлемента в виде таблеток и использовании укрепляющих эмаль паст.
Контроль за концентрацией фтора в питьевой воде можно решить установкой фильтров. На время нужно исключить использование фторсодержащих паст и ополаскивателей для полости рта. Необходимо также придерживаться диеты, исключив жирное мясо и рыбу, крепкий черный чай, шпинат.
Для лечения белых пятен у взрослых стоматолог может назначить курс электрофореза. Широкое распространение получили аппликации со средствами, содержащими фосфор, кальций и цинк. Эти процедуры благотворно влияют на состояние эмали и восстанавливают минеральный состав дентина.
Лечение пятен, вызванных кариесом
Кариес чаще всего возникает при нехватке кальция и фтора. Поэтому убрать белые пятна, образовавшиеся в пришеечной зоне, можно с помощью реминерализации и фторирования. Избавиться от пигментации на начальной стадии можно в домашних условиях, используя специальные пасты и полоски на зубы.
Если начать укрепление эмали сразу после появления белых пятен, то кариес не будет дальше развиваться. Если это все же случилось, то зуб следует восстанавливать.
При возникновении белых пятен нужно заниматься укреплением эмали: есть больше клетчатки, которую организм получает из молочных продуктов, фруктов, овощей. В холодное время года можно пить рыбий жир и принимать витаминно-минеральные комплексы.
Восстановление и отбеливание эмали
Своевременное восстановление баланса микроэлементов может предотвратить появление новых дефектов, но избавиться от имеющихся белых пятен можно с помощью художественной реставрации и отбеливания. Для этого пациенту может быть предложено ношение виниров и металлокерамических конструкций, процедура профессионального отбеливания (например, неорганическими кислотами), снятие верхнего слоя эмали алмазными бурами с последующей шлифовкой.
Белые пятна легко заметить, если они появились на передних зубах, но о существовании пораженных пигментацией участков на молярах и премолярах можно не знать, вот почему важно хотя бы раз в год совершать плановый осмотр у дантиста.
