Бронхопневмония у телят. Симптомы и способы лечения
Бронхопневмония или катаральная пневмония представляет из себя воспаление бронхов и легких теленка, при котором помимо прочего возникает характерный экссудат. В большинстве случаев недуг поджидает молодых особей в периоды откорма, отъема, доращивания. Факторами, которые могут спровоцировать развитие болезни, являются простудные заболевания, повышенная влажность в зданиях, где находятся телята, их размещение на холодных полах, сырость на стене, сквозняки, наличие в воздухе вредоносных паров аммиака и сероводорода и так далее.
Особенно нередко отмечаются вспышки заболевания при смене температурных режимов. В условиях специальных животноводческих хозяйств по выращиванию скота содействовать развитию у животных катаральной пневмонии готовы грубые нарушения общепризнанных мерок содержания поголовья. Эта болезнь имеет неинфекционное происхождение, потому что микробный фактор не является главным. Выделения из легких нездоровых телят имеют свойственный ему характер. Есть эндогенные и экзогенные предпосылки, способные спровоцировать бронхопневмонии.
Эндогенные – эффективный выбор пар при случке, который приведет к возникновению не совсем здорового и на физическом уровне крепкого молодняка; очень короткая трахея и суженные бронхи у теленка, слабая ткань стенок альвеол и прочие причины. Экзогенные – неверное содержание молодняка, а также недостаток в меню их кормления важного составляющего ретинола. Следствием этого становится убавление количества в молоке коровы так необходимого телятам витамина А.
В следствии его недостатка микроорганизмы могут быстрее проникать в дыхательные пути животных, потому что барьерная функция становиться очень слабой. Переохлаждение и перегрев довольно вредоносны для любого животного и они могут воздействовать на появление катаральной пневмонии. Также, предрасполагающим моментом к возникновению таковой болезни быть может снижение значения резистентности, собственно способно проявиться в следствии перенесенного теленком стресса (например, в период его транспортировки с места на меcто), и на фоне имеющихся в слишком раннем возрасте других заболеваний – таких, как диспепсия.
Причины заболевания
При развитии заболевания в процессе участвуют все органы животного. Патогенез совершенно непрост, он определяется сначала тем фактом, в каком состоянии пребывает нервная система теленка.
В следствии неправильной работы этой системы к тому же уменьшается защитная функция сил организма, также сосредоточение гистамина и лизоцима. Потому что имеются застойные явления в крови, наступает становление критерий, содействующих появлению патогенной микрофлоры. Токсины и специфические ферменты начинают скапливаться, чем провоцируют развитие воспалительного процесса в организме животного.
В местах воспалений ткань легкого довольно уплотнена и делается гладкой. Возникает интоксикация, теленок начинает кашлять. Становится тяжело производить обычную вентиляцию легких, появляется более частое дыхание, противная одышка, плохо работает сердечно — сосудистая система, имеется невысокое давление. Кроме того недостаточное число хлоридов в крови теленка приводит к ненужному возникновению соляной кислоты внутри желудка. Свойственны и изменения в работы почек и печени. Ну а в моче заболевшего животного во время выполнения лабораторных исследовательских работ находят белок. В случае если вовремя поставить правильный диагноз и начать адекватное лечение, то всего лишь через неделю или немного позже возможно надеяться на выздоровление питомца.
Симптомы
По течению данного заболевания специалисты различают его острую и хроническую форму.
Острой предшествует катар дыхательных путей, поэтому в стаде могут быть особи и с практически нормальными показателями температуры. Аппетит и в целом состояние животных остается практически обычными. Но во время появления интоксикации термометр может уже показать более 40 градусов.
Животное тяжело дышит, в самом начале заболевания появляется кашель, характерны выделения из носа. При обследовании и прослушивании у теленка обнаруживают сухие хрипы в легких. Важно провести рентген и сделать флюорографию, которые обязательно покажут наличие затенения в определенных местах легких животного. Температура может быть повышенной или падать до пределов нормы. Заболевшее животное стремится меньше времени проводить на ногах и больше лежать. Визуально наблюдают синюшность слизистых носа и рта.
При пальпации гортани и трахеи можно быстро спровоцировать кашель. Также характерным симптомом такой формы бронхопневмонии является обильное слезоотделение, а из носа позже вытекает уже гной. Катаральная пневмония чаще всего проявляет себя в верхней и сердечной долях, что очень хорошо видно на результатах рентгенологического и флюорографического исследований. Если имеет место сильное поражение легких, то появляются также опасные нарушения в работе сердечного ритма, а также наблюдается ослабленный пульс. Сделав анализ крови, врачи скорее всего обнаружат лейкоцитоз, уменьшение показателей щелочного резерва и другие признаки.
Хроническая пневмония более характерна для телят возрастом от 3 до 5 месяцев. Такие животные при наличии заболевания начинают заметно отставать в развитии от своих здоровых собратьев. Они имеют грязный и сухой волосяной покров, а также малоподвижны и апатичны. Температура тела обычно не превышает нормы, за исключением периодов обострения болезни. Характерными симптомами для хронической формы являются кашель, одышка, слизисто-гнойные выделения из ноздрей теленка.
Кашель способен появляться утром уже при подъеме, во время активных движений, также при кормлении, питье. Животное тяжело и поверхностно дышит, что дается ему с явным трудом. В ходе исследований для постановки диагноза врач непременно найдет в легких хрипы, а при перкуссии услышит характерный притупленный звук. Наблюдаются изменения в легких – их определенные участки являются плотными, налицо очаги гноя, слизистая бронхов животного отекает, изменения имеются и в перикарде.
Читайте также:
Очаговая пневмония у ребенка что это такое
Как лечить животное?
Если говорить про эффективность лечения, то она зависит от того, как быстро был поставлен диагноз и начат прием рекомендованных препаратов. Заболевшего теленка следует немедленно изолировать от остальных животных, уложить его на теплую и удобную подстилку, обеспечить нормальный температурный режим в помещении, чтобы животному было тепло. Для лечения бронхопневмонии принято использовать антибиотики.
При их назначении ветеринарному врачу приходится учитывать тот факт, насколько чувствительна к каждому из средств микрофлора теленка. Чтобы определить это, сначала берут на анализ мокроту из легких. В условиях лаборатории осуществляют посев пробы, чтобы определить, какие именно антибиотики смогут хорошо вылечить данное животное. На начальных стадиях заболевания в лечении молодняка хорошо зарекомендовали себя стрептомицин и пенициллин.
Их необходимо вводить внутримышечно около трех раз в день не менее 5 дней. Также назначают препарат бициллин – 3 в форме суспензии. Когда заболевание имеет острое либо хроническое течение, отлично помогают ампициллин, канамицин, эритромицин, тетрациклин и другие медицинские препараты. Их принято вводить около недели. Кроме этого, врач назначает сульфаниламиды приблизительно три раза в день, колоть внутривенно которые необходимо будет не меньше недели.
При гнойно-катаральной форме бронхопневмонии хорошо помогут выздоровлению молодняка стерильные растворы антибиотиков либо сульфаниламидов. Их следует осторожно вводить в нижнюю треть трахеи около двух раз в сутки не более 5 дней. Советуют использовать и биологические стимуляторы – такие, как цитрированная кровь матери.
Для предотвращения появления аллергических реакций и с целью уменьшить проходимость стенок сосудов, назначают прием кальция глюконата либо супрастина. Хороший эффект имеет также новокаиновая блокада симпатических узлов, которую делают большой иглой несколько раз за курс лечения. Помимо всего вышеперечисленного, заболевших животных следует обогревать специальными лампами накаливания, проводить ультравысокочастотную терапию, аэронизацию, растирание груди и так далее.
Телятам также вводят препараты глюкозы и обеспечивают животных необходимым для организма витамином А. Очень популярным методом лечения бронхопневмонии является аэрозолетерапия антибактериальными препаратами.
Покупая телят для выращивания или получая их путем отела коровы из стада, необходимо позаботиться о том, чтобы потомство росло здоровым. Болезни и вирусы способны поражать многочисленные поголовья. Для того чтобы избежать серьезных последствий, нужно уделять должное внимание уходу за молодняком, беречь его от инфекций.
Понятие
Бронхопневмония очень распространена среди молодых особей. Болезнь имеет второе название — катаральная пневмония. Большое количество телят, заболевших бронхопневмонией, умирают. Соответственно, наносится и серьезный финансовый ущерб хозяйству.
При заболевании поражается дыхательная система организма теленка. В частности, воспалению подвергаются альвеолы и бронхи. Иногда бронхопневмония поражает и другие органы. Если не принять меры по своевременному лечению, происходит интоксикация всего еще не окрепшего организма.
Бронхопневмонию можно вылечить. Но после перенесенного заболевания случаются последствия:
- Телята плохо набирают вес.
- Болезнь влияет на племенные качества быков.
- Ухудшаются репродуктивные качества.
Болезнь относится, скорее, к числу простудных, нежели инфекционных заболеваний. Она не заразна. Может возникнуть от сильной простуды или переохлаждения организма.
Бронхопневмония не развивается в каком-либо конкретном регионе или области. Она распространена повсеместно. По количеству регистрируемых случаев стоит на втором месте после желудочно-кишечных расстройств.
Телята в возрасте от 30 до 45 дней наиболее подвержены появлению бронхопневмонии. Процент заболевших среди молодняка равен примерно 30% от всего поголовья.
Процесс развития болезни
Заболевание развивается длительное время. Изначально бронхопневмония поражает бронхи и распространяется по бронхиальному дереву. Лечение развившейся хронической формы заболевания вызывает определенные трудности, потому что происходит серьезный воспалительный процесс, сопровождаемый высокой температурой и отеком слизистых в носовых ходах.
Спустя несколько дней появляются признаки воспаления в легких и хрипы.
В зависимости от тяжести и остроты протекания болезни, симптомы могут усиливаться либо ослабевать. Острая форма обычно сопровождается отечностью легких и бледностью слизистых оболочек.
Бронхопневмония всегда сопровождается кашлем, поскольку на местах зарождения воспалений в легких ткани уплотняются. Кашель является естественной реакцией организма.
Причины развития бронхопневмонии
Обычно к факторам появления воспалительного процесса в дыхательной системе становятся исключительно внешние причины, по которым может ухудшиться иммунитет молодняка, а также микробы и бактерии.
Началу развития болезни способствуют:
- Высокий уровень влажности воздуха в месте содержания телят.
- Сквозняки и холод.
- Жара и сухой воздух в помещении.
- Грязный, пыльный воздух.
- Несбалансированное кормление.
- Недостаток витамина А и С.
- Нарушение вскармливания молозивом.
- Стрессовые ситуации.
- Неправильно подобранная пара при скрещивании.
- Проблемы с пищеварительной системой.
- Невылеченные простудные заболевания.
Формы бронхопневмонии и их симптомы
Различают несколько стадий развития болезни, которые определяются относительно симптомов проявления бронхопневмонии.
Острая
Развивается в организме чуть больше недели. Требует немедленного ветеринарного осмотра и забора анализов на наличие инфекции и выявление лейкоцитоза в крови и белка в моче.
Симптомы:
- вялость;
- плохой аппетит;
- горловое дыхание;
- слезотечение;
- слизь, выделяемая из носовых ходов;
- появление кашля, сопровождаемого неестественными резкими звуками.
Если вовремя не принять меры по медикаментозному лечению, симптомы заболевания стремительно начнут усиливаться. Кашель из сухого превращается во влажный и более частый.
Подострая
Период развития в организме — от 2 до 4 недель.
Читайте также:
Лечение пневмонии методами народной медицины
Симптомы:
- потеря аппетита;
- снижение массы тела;
- повышенная температура тела в вечернее время суток;
- одышка и затруднение дыхания;
- послабление стула.
Важно! Часто при данной форме течения болезни возникают обострения. В этом случае наблюдается повышение температуры тела и ухудшение общего самочувствия теленка.
Хроническая
Симптомы:
- непрекращающийся кашель;
- отставание в физическом развитии;
- насморк;
- незначительное повышение температуры;
- хрипы в легких.
Телята с хронической формой бронхопневмонии подлежат выбраковке. Их мясо не рекомендуют употреблять в пищу даже после тщательной тепловой обработки.
Диагностика
Поставить точный диагноз можно, проведя ряд лабораторных исследований:
- Рентген легких.
- Бронхолегочный тест.
- Биохимический анализ крови.
- Анализ мочи.
Для постановки верного диагноза важна любая информация. Поэтому обращается внимание не только на лабораторные и клинические исследования, но и на санитарно-гигиенические условия, в которых содержится молодняк.
Немаловажно поведение болеющей особи в пределах помещения, на выгуле.
Полученные результаты исследований ложатся в основу назначенного лечения.
Рентген легких
Проведение рентгеноскопии является обязательной процедурой для постановки верного диагноза.
На снимке при бронхопневмонии наблюдаются:
- Местные затемнения. Они имеют различную интенсивность. Располагаются преимущественно в верхних долях легких и на уровне сердца.
- Наблюдается усиление бронхиального рисунка.
- Слабо просматривается сердечно-диафрагмальный треугольник и ребра в зонах воспалительного процесса.
Изменения в работе систем при бронхопневмонии
Смертность от бронхопневмонии очень высока. Это происходит из-за несвоевременно поставленного диагноза или неправильного лечения. В результате интоксикации легких происходят сбои в функционировании практически всех органов и систем.
Одной из первых нарушается центральная нервная система. Это провоцирует:
- снижение защитной функции организма;
- происходит скапливание крови в легких;
- бронхи и бронхиолы отекают;
- в легких появляются воспалительные процессы;
- нарушение газообмена в тканях.
Те участки легких, которые уже поражены воспалительными процессами, перестают выполнять свои прямые функции, поэтому на здоровые участки возлагается большая нагрузка. Это становится причиной одышки и повышения температуры.
При анализе мочи обнаруживаются белковые соединения, поскольку бронхопневмония поражает и почки. В них нарушается работа фильтров.
Немаловажную роль при развитии заболевания играет общее состояние желудочно-кишечного тракта и печени. Если структура печени повреждена, то от кишечника через нее проходят вредные токсины. Они разносятся по организму с помощью крови и провоцируют интоксикацию внутренних органов и систем.
Иные причины появления кашля у телят
Часто причина возникновения кашля у телят заключается в развитии совершенно других патологий, нежели бронхопневмонии. Поэтому при проявлении первых признаков заболевания стоит назначить немедленную консультацию с ветеринаром для уточнения и постановки верного диагноза.
Кашель может беспокоить теленка по другим причинам:
- попадание в верхние дыхательные пути инородного тела;
- попадание пыльцы в органы дыхания, которая способствует проявлению аллергии;
- гельминты в кишечнике, которые вызывают скопление эхинококков в легочной системе;
- отравление химическими соединениями, которые раздражают слизистые оболочки. Кашель в данном случае является защитной функцией организма на раздражитель.
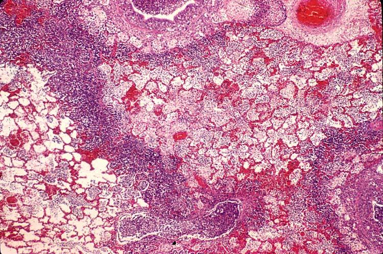
Патологоанатомические изменения
При наступлении смерти теленка от бронхопневмонии назначается вскрытие. Во время обследования выявляется ряд характерных изменений в организме молодой особи:
- поражение бронхолегочной системы;
- уплотнения в легких;
- поражения пневмонией в верхних отделах легких, проникающие вглубь органа. Очаги около 4 сантиметров в диаметре, красно-синего или светло-серого цвета. Поверхность легких неровная. При разрезе наблюдаются зернистые образования.
- Бронхи и бронхиолы животного наполнены плотной слизью.
- Поражения лимфатической системы. В особенности воспаления наблюдаются около бронхов и легких.
- Разрастание соединительной ткани.
- Истощение организма.
- Увеличенная печень.
- Сердечная мышца неестественного цвета.
- Отечность верхних дыхательных путей.
- Переполненный желчью пузырь.
Лечение
Несмотря на то что бронхопневмония имеет очень тяжелые симптомы и иногда приводит к смерти животного, при правильно выбранном и своевременно назначенном лечении возможно его полное излечение. На это потребуется 7-10 дней.
Для наиболее быстрого выздоровления молодой особи необходимо выполнение нескольких важных условий:
- Своевременная постановка диагноза.
- Назначение адекватного медикаментозного лечения.
- Соблюдение правильных условий содержания телят.
В первую очередь, теленок с признаками заболевания переводится в отдельное помещение. Там должно быть тепло, сухо и комфортно.
Вызванный ветеринар проводит зрительный осмотр, прослушивает легкие, берет образцы для анализа.
Лечение бронхопневмонии должно проходить в комплексе, включающем препараты, облегчающие симптомы заболевания, и медикаменты, направленные на устранение причины заболевания и очагов воспаления.
Ингаляции
Фильтрация легочной системы при помощи ингаляций облегчает дыхание теленка. Также ингаляции улучшают кровообращение. Для ингаляций подойдут:
- скипидар;
- сода;
- травяные сборы;
- масла на основе трав.
Антибиотики
Без них шансы на выздоровление практически сводятся к нулю. Чаще всего применяют пенициллин и стрептомицин. Обычно антибиотики колют внутримышечно 3 раза в день.
Препараты против аллергии
Они направлены на снижение проницаемости сосудов. Улучшают всасывание антибиотиков, исключают развитие аллергической реакции на них. Чаще всего применяют супрастин, глюконат кальция, пипольфен, тиосульфат натрия.
Также назначают препараты, стимулирующие работу иммунной системы. Они помогают организму бороться с инфекцией.
Ни в коем случае нельзя предпринимать попытки самостоятельного лечения молодняка. Заболевание очень серьезное, требует незамедлительного воздействия на очаг воспаления. Потеря даже небольшого количества времени грозит наступлением летального исхода.
Хроническая форма течения бронхопневмонии поддается лечению сложнее всего.
Схемы лечения
Общепринятой схемы лечения бронхопневмонии до сих пор не существует. Это обусловлено вариативностью проявления симптомов болезни.
Читайте также:
Запущенная пневмония у ребенка последствия
Для достижения лучшего результата ветеринары применяют комплексную терапию, пытаются подобрать наиболее эффективные схемы лечения.
Самая распространенная:
- Каждая плановая вакцинация молодняка сопровождается регулярной дезинфекцией помещений аэрозолями.
- Если в стаде выявлена заболевшая особь, ей внутривенно вводят кровь здорового теленка.
- На весь период лечения молодняк обеспечивается антибактериальными медикаментами, которые добавляют в корм или питье.
Содержание заболевших телят
Для наиболее эффективного лечения и быстрого выздоровления необходимо обеспечить максимально комфортные условия их содержания:
- Поместить в отдельное помещение.
- Проветривать не менее 2 раз в день.
- Исключить сквозняки.
- Поддерживать чистоту помещения, дважды в день менять подстилку.
- Обеспечить беспрепятственный доступ к воде. Она должна быть теплой и чистой.
- Обогатить рацион витаминно-минеральным комплексом. Уделить особое внимание содержанию витаминов А, В, D.
- Обеспечить регулярный выгул при сухой погоде.
Если болезнь появилась в летний период, можно вывести молодняк на круглосуточное пребывание на свежий воздух. Делать это можно лишь в том случае, если ночами температура сильно не снижается. В зной теленку нужно предоставить затененное место, например, навес.
Ученые и создатели методов лечения
Специалисты стали замечать, что эффект от приема антибиотиков стал не столь прогрессивным. Поэтому тема по изобретению новых методов лечения остается актуальной.
В.А. Лочкарев предложил вводить антибиотики внутривенно. При расчете дозировки он посчитал целесообразным исходить из массы тела каждого конкретного теленка. Среди препаратов, которым отдал свое предпочтение Лочкарев — стрептомицин, тетрациклина гидрохлорид, эритромицин, тилозин и другие.
Р.Г. Мустакимов предпринял попытку внутритрахеального введения антибиотиков. Из общего ряда он выделил изониазид и антибиотики тетрациклинового ряда.
Р.Х. Гадзаонов и Р.П. Тушкарева не разделили мнение своих коллег. По их разработкам наибольший эффект при борьбе с бронхопневмонией достигается в ходе аэрозольтерапии.
В качестве ежедневных 4-разовых ингаляций путем распыления в воздухе помещения они советуют различные растворы, содержащие скипидар, хлорамин, резорцин, молочную кислоту, надуксусную кислоту, сернокислый марганец и другие. Данную терапию ученые предложили совмещать с аэрозолетерапией на основе антибиотиков пенициллинового ряда, тетрациклинового ряда, бронхолитиками.
Был вариант введения медикаментов в лимфатическую систему. Данный способ предложил В.Ю. Чумаков. По его мнению, при таком способе лечения достигается наиболее качественная стимуляция иммунной системы.
Метод 100% выздоровления предложил и В.А. Самаркин. Он изучил влияние на бронхопневмонию никотина.
Кроме отмеченных авторов разработок, можно выделить еще многих. Проблема эффективности лечения волнует специалистов и побуждает их действовать и предлагать все новые варианты.
Меры профилактики
Естественно, что вместо того, чтобы лечить заболевание, лучше постараться его предотвратить. Для этого нужно соблюдать ряд полезных правил:
- уделять должное внимание составлению рациона питания;
- обогатить пищу витаминами;
- поддерживать оптимальный уровень влажности воздуха — около 70%;
- не допускать резких перепадов температуры в помещении;
- организовать регулярный выгул молодняка, во время которого можно проветривать помещения;
- обеспечить место укрытия от осадков в зоне выгула (навес);
- содержать помещения в чистоте;
- применять средства для дезинфекции;
- регулярные ветеринарные осмотры;
- незамедлительное принятие мер при наблюдении нездоровых признаков у телят;
- использовать в качестве напольного покрытия деревянные материалы, а не бетонные, цементные или асфальтовые.
- проводить массаж грудной клетки молодых особей.
Важно! Требуется уделять должное внимание беременным коровам, поскольку иммунная система теленка начинает формироваться еще в утробе матери.
Советы и интересные факты о телятах
Телята имеют отличную память. Они способны запомнить не только лица людей, но и их голоса и запахи.
Молодые особи очень любят общество. Если понаблюдать за их поведением во время выгула, можно заметить, что телята практически всегда держатся группами. Поэтому, во время развития болезни, когда теленок уже помещен в отдельное помещение, нужно как можно чаще навещать больного. Компания скрасит одиночество и поможет быстрее выздороветь.
Телята умеют плакать, как люди. Выделение слез происходит при болевом ощущении, или как проявление грусти.
Телята, как и взрослые коровы, чувствуют приближающуюся смерть или расставание с хозяином. Неоднократно было замечено, что животные начинают плакать и сопротивляться, когда их ведут на убой.
Телята способны запомнить свою кличку и откликаться на нее.
При появлении человека, который ему нравится, теленок пытается всеми силами дотянуться и полизать части человеческого тела.
Затраты на лечение
Учитывая небольшой срок, требуемый на лечение заболевшей особи и небольшой набор препаратов, нужных для терапии, больших финансовых затрат хозяйства не несут.
Отдельная тема касается потери веса телят во время болезни и их медленное развитие в первый период после перенесенной болезни.
К этому придется добавить расходы на неоднократные вызовы ветеринара и проведение анализов.
В случае наступления смерти молодняка от бронхопневмонии, денежные потери придется понести, заплатив за патологоанатомическое исследование.
Чтобы бизнес по разведению телят не понес убытков, нужно позаботиться, в первую очередь, о здоровье молодняка. Болезни способны уничтожить многочисленные стада, что понесет за собой невосполнимые финансовые потери.
Такая серьезная болезнь, как бронхопневмония, тоже смертельна, но при своевременном выявлении признаков заболевания достаточно легко излечивается.
Главное, сделать все возможное, чтобы теленок после болезни восстановился как можно быстрее и начал набирать вес. Профилактика — самый надежный способ защиты от болезни.














