Содержание статьи
- Отличительные черты легочной ткани
- Типы заболевания
- О факторах риска
- Признаки и симптомы больничной пневмонии у пожилых и старых людей
- Как проявляется болезнь
- Диагностика
- О необходимости госпитализации
- Особенности лечения симптомов пневмонии у пожилых людей
- Лечение антибактериальными средствами
- Особенности дополнительного лечения
- Осложнения
- Прогноз для стариков в возрасте старше 80-85 лет: пневмония у пожилых людей
- Двусторонняя пневмония у пожилого человека: профилактика
- Осложнения
Пневмония у пожилых людей является весьма актуальной проблемой современной медицины. Согласно официальной статистике, около пятидесяти процентов клинических случаев заканчиваются разнообразными осложнениями и негативными последствиями. Среди наиболее распространенных причин, провоцирующих подобные изменения, выделяют позднюю диагностику и некорректно подобранное лечение. Далее пытаемся понять, почему воспалительные процессы дыхательных путей так опасных для стариков, а также разбираем эффективные восстановительные и терапевтические методики.
Отличительные черты легочной ткани
Факторами, провоцирующими развитие старческой пневмонии, выступают возрастные дегенеративные изменения, происходящие в дыхательных органах. В частности:
- истончение стенок альвеол и утрата эластичности;
- застойные модификации, происходящие в хрящиках и мягких бронхиальных тканях;
- патологии вентиляционной функции;
- потребление большего, чем требуется для нормального функционирования организма количества воздуха, которое влечет задержку дыхания;
- нарастающая атрофия бронхиол.
Описанные процессы нередко приводят к гипоксии, повышают количество углекислого газа в кровотоке.
Типы заболевания
Как показывает практика, возникновение и протекание воспаления легких в преклонном возрасте нередко сопровождается разнообразными сопутствующими недугами. Так, например, если в ходе обследования пациента выясняется, что ранее у него была диагностирована ишемическая болезнь или прочие сердечно-сосудистые патологии, скорее всего, у него найдут очаговую форму. Что примечательно, у подавляющего большинства больных старше восьмидесяти лет выявляют крупноочаговую пневмонию.
Расстройства дыхательных органов могут спровоцировать зарождение воспалительных процессов в сегментированных частях легких. У представителей преклонного возраста это, как правило, сегментарная или полисегментарная форма.
По методам заражения выделяют внебольничные и внутрибольничные разновидности. Их детальное сравнение в табличке ниже:
| Вид | Особенности | Возбудители |
| Дома | Возникновение не связано с микрофлорой медучреждений, характер протекания разный: от легкого и быстрого проходящего до тяжелого и затяжного. | Пневмококк, стафилококк, хламидиозные и гемофильные палочки. |
| В стационаре | Заражение, как правило, происходит в больнице. Требуется госпитализация. | Синегнойные палочки, легионеллы. |
Оставьте заявку на подбор пансионата
для пожилого человека с пневмонией
О факторах риска
Среди причин, провоцирующих развитие заболевания, можно выделить:
- недостаток физических упражнений, двигательной активности;
- сердечно-сосудистые патологии;
- ранее диагностированные недуги хронического характера – диабет, тонзиллит и т.д.;
- раковые опухоли и новообразования;
- необходимость регулярного нахождения в стационарных условиях;
- курсовое употребление антибактериальных медикаментов;
- наличие вредных привычек (злоупотребление алкоголем, сигаретами).
Наличие хотя бы двух пунктов из представленного списка превращает представителя «третьего» возраста в уязвимое и подверженное появлению осложнений лицо.
https://youtube.com/watch?v=TaaOdAak7KA
Признаки и симптомы больничной пневмонии у пожилых и старых людей
Для «типичной» формы характерно резкое повышение температуры, которое сопровождается кашлем и обильными гнойными выделениями. В некоторых случаях отмечается плевральная боль. Во время диагностического исследования зачастую выявляют такие отклонения как: жесткое дыхание, хрипы, затемнения на рентгенологических снимках.
«Атипичная» разновидность сопровождается сухим и непродуктивным кашлем, першением в горле. Нередко больные жалуются на усталость и сонливость, быструю утомляемость.
Таким образом, к наиболее очевидным симптомам и прогнозам воспаления легких у пожилых людей относятся:
- лихорадку;
- кашель (как мокрый, так и сухой);
- изменение частоты и глубины дыхания;
- неприятные ощущения в груди;
- изменения на снимках с рентгена.
Как проявляется болезнь
Трудно выделить какие-то конкретные признаки, которые бы описывали особенности возникновения и протекания воспаления легких в преклонном возрасте. Это объясняется слабой выраженностью клинической картины. Как правило, процессы развития заболевания «смазываются» из-за приема лекарств, употребляемых для устранения других недугов.
Распознать болезнь можно по следующим проявлениям:
- кашель;
- одышка;
- болезненные ощущения;
- цианоз пальцев;
- недержание мочи;
- нарушения центральной нервной системы.
Что касается температуры, то она может как иметь субфебрильные значения, так и достигать отметок в 40 градусов.
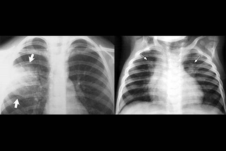
Диагностика
Для постановки диагноза используются следующие методы:
- лабораторные исследования (крови, мочи, мокроты);
- рентген-исследования;
- обследование слизистых трахеобронхиального дерева;
- КТ и МРТ.
Необходимость применения дополнительных диагностических инструментов определяется специалистом.
О необходимости госпитализации
Решение об отправлении больного в стационар принимается на основе следующих факторов:
- возраста;
- характера протекания заболевания;
- результатов проведенных анализов;
- вероятности возникновения осложнений;
- наличия других недугов и патологий;
- половой принадлежности.
Кроме того, специалист должен учитывать особенности социального положения пациента – есть ли у него родственники, способные позаботиться?
Особенности лечения симптомов пневмонии у пожилых людей
Лечебная терапия отличается разнонаправленным характером. Воспалительные процессы протекают на фоне сопутствующих заболеваний, что необходимо учитывать при составлении восстановительной программы. В период обострения все предпринимаемые меры направляются на:
- подавление инфекции;
- устранение признаков интоксикации;
- ликвидацию дыхательной недостаточности.
Что примечательно, дополнительно должна проводиться восстановительная программа, призванная повысить защитные функции организма, укрепить иммунитет.
Лечение антибактериальными средствами
Ключевая роль отводится антибиотическим препаратам. Что касается выбора конкретного лекарственного средства, то он делается преимущественно на основе опыта, поскольку в момент первого приема врач не имеет на руках результатов анализов. Безусловно, после их получения антибактериальная программа может быть скорректирована.
Длительность стационара определяется инфекционным агентом. Так, например, если воспалительные процессы не сопровождаются дополнительными осложнениями, средний срок выздоровления составляет десять дней. Микоплазмоз и хламидии способны продлить его до двух недель, а легионелла – до трех.
Особенности дополнительного лечения
Кроме антибиотиков, возрастным пациентам могут быть назначены:
- гепарин и плазма крови;
- иммуноглобулины;
- противоаритмические средства;
- гликозиды.
Как только состояние будет стабилизировано, начинают прием бронхолитиков, муколитиков, а также отхаркивающих сиропов. Особенности сердечной пневмонии у пожилых людей старше 85 лет обуславливают необходимость постельного режима.
Осложнения
Несвоевременно начатое или некорректно подобранное лечение способно спровоцировать ряд серьезных побочных эффектов вплоть до летального исхода. К наиболее часто встречаемым последствиям относят:
- сепсисы;
- плевриты;
- отеки разной степени;
- инфицирование;
- респираторные синдромы.
Одновременно могут развиваться сразу несколько патологических процессов.
Прогноз для стариков в возрасте старше 80-85 лет: пневмония у пожилых людей
Для оценки возможных рисков и определения срока выздоровления современными специалистами используется специально разработанная шкала, ключевыми измерительными параметрами которой выступают масса тела (особенно если пациент лежачий), возрастной показатель, а также особенности текущего состояния. Прогнозирование осуществляется в благоприятных терминах, если больной не жалуется на самочувствие и хронические болезни, а результаты его обследований колеблются в пределах нормы.
Читайте также:
Пневмония после выписки из больницы
Двусторонняя пневмония у пожилого человека: профилактика
Поскольку любой недуг в старческом возрасте протекает довольно тяжело, может вызывать серьезные осложнения, специалисты рекомендуют пристально следить за собственным здоровьем, стараясь предупредить развитие любых патологических процессов. В случае с воспалением органов дыхания действует то же правило.
Профилактические меры сводятся к следующему:
- К поддержке физической активности. Именно недостаток движения выступает в качестве начального фактора, способного спровоцировать заражение.
- К выполнению дыхательной гимнастики. Это позволяет предотвратить разнообразные патологии бронхов, трахеи и бронхиол.
- К отказу от сигарет. Курение – не только вредная привычка, но и один из факторов, способствующих возникновению недуга.
- К избеганию переохлаждения. Важно соблюдать тепловой режим.
- К соблюдению режима питания. Без сбалансированного рациона невозможно поддерживать здоровье на должном уровне.
- К прохождению вакцинации. Прививки требуется делать не только в детском, но и в старческом возрасте.
Если всё это выполняется, то можно смело давать прогноз, что симптомы двустороннего воспаления легких у пожилых людей не проявят себя. Если человек не в состоянии самостоятельно позаботиться о себе, должен соблюдать постельный режим, все заботы о его здоровье ложатся на родных и близких. Именно им предстоит выполнять с ним гимнастику, делать массажи и, конечно, создавать приятное настроение.
Осложнения
Условно их можно подразделить на две группы: легочные и внелегочные.
К первой относят:
- разнообразные воспаления плевры (процессы, протекающие в плевральной полости и сопровождающиеся скоплением патологических веществ);
- абсцессы (гнойно-деструктивные поражения, протекающие с выраженной лихорадкой и интоксикацией);
- синдромы обструкции (непроходимость респираторного тракта, которая может наблюдаться на любом уровне: от горла до бронхов);
- отеки (состояние, при котором количество легочной жидкости превышает допустимые значения);
- острую недостаточность дыхания и прочие патологии, связанные с потреблением воздуха.
Ко второй:
- болезни сердца;
- расстройства и нарушения сердечно-сосудистой системы;
- неспецифичные миокардиты;
- психозы (при тяжелом протекании заболевания).
В сети пансионатов «Забота» пациенты получают качественный уход и внимание, которое им необходимо. Мы организовываем не только медицинские процедуры, но и прогулки, сбалансированную диету и спокойную атмосферу, где пожилые люди могут отдыхать и восстанавливать силы. Срок размещения у нас составляет от трех суток до постоянного проживания. В качестве заключения предлагаем вашему вниманию видеоролик, рассказывающий об обширном двухстороннем воспалении легких в пожилом возрасте.

Дата создания статьи:
20 Сентября 2019
Дата обновления статьи:
19 Июня 2020
Оставьте заявку на подбор пансионата
для пожилого человека с пневмонией
Из этой статьи вы узнаете:
-
В чем заключаются особенности пневмонии у пожилых людей
-
Как проявляется пневмония у пожилого человека
-
Какие симптомы пневмонии у лежачего пожилого человека
-
Как происходит диагностика и лечение пневмонии в пожилом возрасте
-
Можно ли вылечить пневмонию у пожилых людей народными средствами
Пневмония у пожилых людей является опасным воспалительным заболеванием лёгких, поражённых патогенной микрофлорой. Развитие и течение пневмонии у престарелых имеет несколько характерных особенностей. Пенсионеры страдают от данного заболевания, так как снижаются нормальные резистивные механизмы их организма, повреждаются ткани, накапливаются токсины. Появление этих негативных явлений связано с процессом старения.
В чем заключаются особенности пневмонии у пожилых людей
В списке старческих недугов особое место занимают такое заболевание, как пневмония у пожилого человека. Разумеется, болезнь значительно снижает качество и продолжительность жизни. Из-за заболеваний дыхательных органов таких как пневмония, у пожилого человека теряется трудоспособность, а иногда недуг приводит к смерти.
Более молодые больные демонстрируют признаки крупозной пневмонии, которая легко лечится медикаментозно. С наступлением старости увеличивается вероятность развития такой формы заболевания, как пневмония у пожилого человека. Лечение длительное, так как болезнь протекает тяжело, ведь организм пенсионера зачастую ослаблен.
Лечение пневмонии у пожилых людей отличается от терапии этого же заболевания у молодых. Патогенная микрофлора, вызывающая болезнь у престарелых, чаще всего представляет собой аутоинфекцию. Важно понимать, что воспалительный процесс у пенсионеров зависит не только от возбудителей, а от качественного нарушения выработки антител, которые должны бороться с инфекциями.
Уязвимость дыхательной системы перед инфекциями возникает из-за возрастных изменений, которые сопровождаются нарушением функционирования органов и тканей организма. Пневмония у лежачих пожилых людей — явление распространённое. Дренажные функции нарушаются, а слизь, продуцируемая бронхами, сгущается, что способствует появлению воспалительных процессов.
Больные, прикованные к постели, особенно подвержены такому заболеванию, как пневмония. Пожилых, старых людей беспокоит появление отёков и пролежней в верхней зоне грудной клетки. Подобные явления сигнализируют о том, что кровоснабжение паренхимы лёгких нарушается. Пневмония у пожилого человека иногда возникает как следствие интоксикации, вызванной приёмом лекарственного средства, попадания рвотной массы в лёгкие и пр.
Как проявляется пневмония у пожилого человека
Рассмотрим, как проявляется пневмония у пожилых людей. Симптомы заболевания:
Легочные проявления
Пневмония у пожилого человека сопровождается кашлем и отделением мокроты. Тем не менее, у некоторых больных, страдающих, к примеру, от болезни Альцгеймера, кашлевой рефлекс отсутствует.
Пневмония у пожилого человека может проявляться одышкой.
Распространение воспалительного процесса в тканях лёгких сопровождается чувством тяжести и болезненными ощущениями в зоне грудной клетки. В такой ситуации пневмония у пожилого человека проявляется шумом трения плевры.
Крайне важно понимать особенности пневмонии пожилых людей. У престарелых не проявляются такие симптомы заболевания, как притупление перкуторного звука, крепитация. Это связано с тем, что лёгочная ткань уплотняется, но не настолько сильно, чтобы данные признаки могли сформироваться.
Пневмония у пожилого человека протекает одновременно с другими заболеваниями и из-за этого клиническая картина может быть не такой явной. У престарелых наблюдается сердечная недостаточность, опухоль лёгких и другие хронические заболевания. Врач сталкивается с трудностями при определении диагноза. Именно поэтому пневмония у пожилого человека не всегда вовремя определяется.
Внелегочная симптоматика
Пневмония у пожилого человека зачастую сопровождается лихорадкой. Тем не менее, у многих пенсионеров заболевание протекает без повышения температуры. Такой болезни, как пневмония у пожилого человека сопутствуют сонливость, заторможенность, апатия, плохой аппетит.
Как правило, первыми признаками такого заболевания, как пневмония у пожилого человека, являются непроизвольная утечка мочи, отсутствие интересов, нарушенная физическая активность. Кстати, иногда врачи по ошибке считают эти симптомы проявлениями деменции.
Читайте также:
Как долго может быть кашель при пневмонии у ребенка
Пневмония у пожилого человека может проявляться декомпенсацией фонового заболевания. К примеру, у дедушки с хроническим бронхитом усилится кашель, появится дыхательная недостаточность. У бабушки с диагнозом «застойная сердечная недостаточность» заболевание будет прогрессировать.
Лейкоцитоз отсутствует у 1/3 пожилых людей с диагнозом «пневмония».
Пневмония у лежачих пожилых людей: причины заболевания
Пневмония у пожилого человека может возникнуть по следующим причинам:
- хроническая легочная болезнь;
- гемодинамическое нарушение малого круга кровоснабжения;
- бактериальные инфекции;
- обструктивное и аллергическое заболевание (бронхиальная астма, поллиноз);
- попадание в лёгкие жидкостей и рвотных масс;
- перенос инфекции из других органов.
Пневмония у пожилого человека может проявляться по-разному в зависимости от того, какими факторами она вызвана.
На ранней стадии пневмония у пожилого человека характеризуется появлением сухого кашля. Со временем приступы становятся более интенсивными. Антибактериальные средства, как правило, не облегчают состояния
У молодых заболевание сопровождается выделением мокроты жёлтого цвета. А пневмония у пожилого человека отличается тем, что у пенсионера выделяется гнойная слизь с кровянистыми прожилками
Чаще всего пневмония у пожилого человека не сопровождается повышением температуры. Если она поднимается, то незначительно. Максимальный уровень температуры, которую вызывает пневмония у пожилого человека — 39 градусов
Иногда градусник демонстрирует и более устрашающие цифры (40 градусов). Обычно такая высокая температура возникает при пневмококковом двухстороннем воспалении. Увы, если именно такими симптомами сопровождается пневмония у пожилых людей, прогноз неутешительный.
Хронические лёгочные заболевания вызывают усиление частоты дыхания. Поэтому подобные проявления нельзя считать симптомом пневмонии.
Пневмония у пожилых людей: диагностика и лечение
Важно понимать, что пневмония у пожилых людей может никак не проявляться в течение длительного времени. По этой причине рекомендуем обращаться к доктору, если вы заметили одно из проявлений заболевания. Нельзя ни в коем случае самостоятельно назначать антибиотики. Пневмония у пожилых людей — опасная болезнь и самолечение может спровоцировать осложнения.
Чтобы поставить диагноз, врач назначит сбор анамнеза и аускультации, общий анализ крови, рентгенографию.
Когда речь идёт о таком серьёзном заболевании, как пневмония у пожилых людей, лечение проводится только амбулаторное. Лечить болезнь очень сложно, ведь иммунитет у пенсионеров ослаблен, и организм не может бороться с инфекцией. Пневмония у пожилых людей требует длительной терапии, применения сильных препаратов.
Столкнулись с таким диагнозом, как пневмония у пожилых людей? Уход за пациентом должен быть особенно тщательным, ведь процесс выздоровления зависит не только от эффективности лечения, но и от общего самочувствия. Принимать антибиотики и другие препараты необходимо согласно схеме, рекомендованной врачом.
Когда речь идёт о таком заболевании, как пневмония у пожилых людей, клиника, диагностика, лечение — все эти факторы имеют значение. Немаловажен и уход за пациентом. Кормить больного нужно каждые 2 часа. Благодаря такому питанию метаболизм ускоряется. Регулярно проветривайте помещение, особенно если пожилой человек лечится в больнице. Обеспечьте тёплое питьё для пациента, чтобы разжижить мокроту и облегчить её отведение. Следите за работой кишечника, ведь из-за запоров и метеоризма течение болезни может усугубляться. Если пневмония у пожилого человека сопровождается ознобом, то предложите пациенту согревающие напитки, тёплое одеяло и грелку. Следите за уровнем артериального давления и частотой пульса.
Пневмония у пожилого человека требует полного покоя и соблюдения постельного режима. Тем не менее, важно, чтобы ваш престарелый родственник время от времени менял позу.
Какие врач прописывает антибиотики при пневмонии у пожилых людей
Бензиппеиициплин высокоэффективен в отношении возбудителя S. pneumoniae. В последнее время увеличилась резистентность пневмококков к пенициллину, из-за чего применение этого лекарства для лечения пожилых людей ограничивается
Аминопенициллины (ампициллин, амоксициллин). Спектр их действия несколько шире, чем у вышеуказанного препарата. Амоксициллин отличается хорошей всасываемостью и переносимостью. Его применяют, если пневмония у пожилого человека протекает в лёгкой форме, и ей не сопутствуют какие-либо патологии.
Защищенные аминопенициллины (амоксицилав, кпавуланат). Препараты активно борются с бактериями. Кпавуланат справляется с возбудителями внебольничной пневмонии, в том числе анаэробами. Лекарство считается одним из лучших для лечения внебольничной инфекции дыхательных путей.
Если возникает пневмония у пожилых людей, осложнения, к сожалению, тоже возможны. В такой ситуации целесообразно применение защищенных аминопенициллинов, которые справляются даже с тяжёлыми формами заболевания.
Цефуроксим является цефалоспорином второго поколения. По спектру действия цефуроксим схож с клавуланатом, однако неэффективен в отношении анаэробов. Увы, штаммы пневмококка проявляют устойчивость к данному лекарственному средству. Цефуроксим — лекарство первого ряда, используемое для лечения такого опасного заболевания, как пневмония у пожилых людей.
Цефотаксим и цефтриаксон являются цефалоспоринами третьего поколения. Они эффективны для борьбы с грамотрицательными бактериями и пневмококками, в т. ч. штаммами, резистентными к пенициллину. Если пневмония у пожилого человека протекает в тяжёлой форме, то врачи, как правило, назначают данные препараты. Цефтриаксон выписывают, если пневмония у пожилого человека не требует госпитализации. Кроме того, принимать препарат на дому не сложно, ведь вводить его нужно один раз в сутки.
Макролиды. Специалисты утверждают, что резистентность, которую проявляют пневмококки и гемофильная палочка к макролидам, сильно увеличилась за последнее время. Тяжелая пневмония у пожилого человека требует назначения сочетания макролидов с цефалоспоринами третьего поколения.
Лечение пневмонии у пожилых людей народными средствами
Столкнулись с таким диагнозом, как пневмония у пожилых людей? Лечение народными средствами тоже даёт хорошие результаты. Народные целители рекомендуют:
- регулярно пить настой на основе травы фиалки трехцветной;
- пить настойку лимонника (30 капель) 2 раза в день;
- пить оливковое масло (1 ст. л.) ежедневно;
- пить отвар листьев алоэ с медом (1 ст. л.) трижды в сутки;
- есть жидкую овсяную кашу с добавлением масла и мёда.
Лечение овсом
Пневмония у пожилого человека пройдёт быстрее, если вы воспользуетесь этим рецептом. Промойте стакан овса, залейте его молоком (1 л), поставьте на огонь и варите в течение одного часа. Процедите и пейте получившийся отвар, добавив в него масло и мёд. Принимайте лекарство перед сном и постепенно пневмония у пожилого человека пройдёт.
Лечение водкой
Если пневмония у пожилого человека сопровождается повышенной температурой, то можно воспользоваться следующими рецептами:
-
Понадобится: водка (1 ст. л.), зеленый чай (2 ст. л.), черноплодная рябина (20 г), мёд (1 ч. л.), вода (250 мл).
Способ приготовления. Чтобы снять лихорадку, которую вызывает пневмония у пожилого человека, заварите в заварочном чайнике зелёный чай с рябиной и оставьте настаиваться на 20 минут. Затем налейте настой в кружку, добавьте мёд с водкой.
Способ применения. После того, как вы выпили настойку, нужно лечь в кровать и укутаться. Чтобы пневмония у пожилого человека протекала не так болезненно, необходимо повторять процедуру в течение нескольких дней.
-
Требуется: водка (100 мл), свежие цветки (10 г) или высушенная кора белой акации (5 г).
Способ приготовления. Положите кору или цветы в ёмкость и залейте их водкой. Оставьте настаиваться на 10 дней. Затем необходимо процедить настойку, перелить в бутылку, плотно закрыть и положить в тёмное место.
Способ применения. Если пневмония у пожилого человека характеризуется лихорадочным состоянием, то нужно принимать настойку трижды в день по 30 капель. Пневмония у пожилого человека проходит на четвёртые-пятые сутки.
Читайте также:
Заразна ли пневмония легких для
Если пневмония у пожилого человека сопровождается сухим кашлем, то рекомендуем воспользоваться следующими рецептами:
-
Понадобится: водка (2 ст. л.), чеснок (2-3 зубчика), мёд (1 ст. л.).
Способ приготовления. Раздавите чеснок, добавьте к нему водку с мёдом и размешайте. Оставьте смесь в прохладном месте.
Способ применения.Пневмония у пожилого человека — состояние не из приятных, а кашель только усугубляет ситуацию. Чтобы устранить его, нужно принимать смесь дважды в день после употребления пищи по чайной ложке в течение двух дней. После этого нужно сделать перерыв длительностью в сутки. Если пневмония у пожилого человека не прошла, и кашель всё равно остаётся, то необходимо повторить терапию.
-
Понадобится: водка (2 ст. л.), 20 г корень мыльнянки (20 г), вода (250 мл).
Способ приготовления. Положите корни в ёмкость и залейте их водой, поставьте на огонь и кипятите в течение 15 минут. Оставьте настаиваться на 40 минут. Затем нужно процедить отвар и добавить в него водку. Положите лекарство в прохладное место и храните 2-3 дня.
Способ применения. Чтобы прошёл кашель, который часто сопутствует столь неприятному явлению, как пневмония у пожилого человека, нужно принимать отвар по 1 ст. л. после принятия пищи в течение семи дней.
Лечение морской солью
Облегчить состояние при таком заболевании, как пневмония у пожилого человека, можно при помощи морской соли:
-
Измельчите лист алоэ, добавьте к нему морскую соль (1 ч. л.). Употребляйте смесь по 1 ст. л. трижды в день за 30 минут до того, как планируете принять пищу. При диагнозе пневмония у пожилого человека кашель проходит, как правило, в течение нескольких дней.
-
Если возникает одышка у пожилого человека, то рекомендуем воспользоваться другим рецептом: растворите морскую соль (1 ст. л.) в воде (200 мл) и выпейте смесь за 60 минут до того, как принять пищу. Пневмония у пожилого человека проходит в течение недели.
Методика проведения сегментарного массажа при пневмонии у пожилого человека
Часто врачи рекомендуют массаж, если речь идёт о таком явлении, как хроническая пневмония у пожилого человека.
Благодаря массажу пневмония у пожилого человека протекает легче, а выздоровление наступает гораздо быстрее. Прохождение мокроты улучшается, мышцы грудной клетки расслабляются, кровообращение активизируется.
Пожилому человеку следует лечь или сесть. Как правило, массаж начинают с паравертебральных зон. Специалист использует следующие приёмы:
-
плоскостное поглаживание;
-
растирание;
-
разминание;
-
вибрация.
Далее специалист переходит к трапециевидным, а затем — к широчайшим мышцам спины. Массажист воздействует на трапециевидные мышцы пожилого человека, начиная с затылочной области и заканчивая плечевыми суставами, а на широчайшие — с поясничного отдела до подмышечных впадин.
После этого специалист проводит массаж грудино-ключично-сосцевидных мышц. Для этого используются следующие техники:
-
щипцеобразное поглаживание;
-
разминание;
-
пунктирование;
-
непрерывистая вибрация.
Кроме того, лечение пневмонии у пожилых людей посредством массажа предполагает воздействие на точку да-чжуй. Это делается при помощи приёмов:
-
пунктирование;
-
поколачивание.
Далее специалист переходит к массажу следующих зон:
- межлопаточная и лопаточная. Приёмы:
-
поглаживание;
-
растирание;
-
вибрация.
-
- над- и подключичная. Приёмы:
-
поглаживание;
-
растирание;
-
пунктирование.
-
- грудино-ключичные суставы. Приёмы:
-
поглаживание;
-
растирание;
-
пунктирование.
-
- большие грудные мышцы.
- межреберье. Приёмы:
-
граблеобразное поглаживание;
-
растирание.
-
- диафрагма. Приёмы:
-
непрерывистая вибрация.
-
Далее специалист переходит к косвенному массажу лёгких.
Лечение пневмонии у пожилых людей предполагает использование следующих способов:
-
нежное толчкообразное ритмичное надавливание ладонью в нижней части грудины и над сердцем;
-
непрерывистая вибрация;
-
сотрясение грудной клетки;
-
сдавливание грудной клетки ладонями на уровне 5- и 6-го рёбер;
-
сжатие;
-
растяжение;
-
дыхательные упражнения.
Лечение пневмонии у пожилых людей посредством массажа, как правило, длительное и требует не менее 12 сеансов. Длительность процедуры составляет около 14-18 минут. Пожилому человеку следует регулярно посещать сеансы, иначе пневмония будет прогрессировать.
Пневмония в пожилом возрасте: осложнения и прогноз
Увы, пневмония у пожилого человека нередко сопровождается осложнениями, которые иногда приводят к летальному исходу. К ним относятся:
-
плеврит;
-
абсцесс легкого;
-
заражение крови;
-
нарушение дыхания;
-
отёк легких;
-
острый респираторный синдром.
К сожалению, пневмония у пожилого человека зачастую протекает так, что болезнь усугубляется из-за наличия целого ряда осложнений. Иногда заболевание сильно прогрессирует, что приводит к появлению лёгочных кровотечений.
Исход такой болезни, как пневмония у пожилого человека, непредсказуем. Всё зависит от состояния здоровья пациента, чувствительности возбудителя к препаратам.
Лечение пневмонии у пожилых людей требует тщательного анализа проявлений заболевания, особенно, если речь идёт о лежачем больном. Если лечение пневмонии у пожилых людей не было начато вовремя, то прогноз неутешительный.
Хороший врач понимает всю серьёзность ситуации и назначает комплексное лечение пневмонии у пожилых людей. Специалист выписывает сразу несколько лекарственных средств, чтобы охватить широкий спектр возможных возбудителей. Тем не менее, у подобного подхода есть один недостаток. Приём большого количества препаратов провоцирует интоксикацию организма пожилого человека, что сказывается на иммунитете.
Если пневмония у пожилого человека имеет запущенную форму, то велик риск, что у больного будет развиваться двухстороннее воспаление лёгких.














