Что такое Крупозная пневмония у детей —
Крупозная пневмония – это острое инфекционно-аллергическое заболевание, при котором происходит воспалительное поражение легочной ткани, в альвеолах скапливается экссудат, богатый фибрином; заболевание имеет циклическое течение как в плане патоморфологии, так и в плане симптомов.
В последнее время эта болезнь не так часто встречается среди детей, как раньше. Данному заболеванию подвержены в основном дошкольники и школьники. Заболеваемость среди детей от 1 до 3 лет низкая. Бывают случаи заболевания крупозной пневмонией и на первом году жизни.
Что провоцирует / Причины Крупозной пневмонии у детей:
Болезнь провоцируют пневмомокки (разные виды). Они похожи по структуре, но отличается их степень вирулентности и кое-какие из биологических свойств. Распространенный пневмококк IV типа. Крупозную пневмонию у детей также могут спровоцировать патогенные стафилококки, стрептококки, палочка Фридлендера и т.д. Есть вероятность сочетания микробной и вирусной инфекции.
Патогенез (что происходит?) во время Крупозной пневмонии у детей:
Возбудитель проникает в организм из окружающей среды, что называется экзогенным путем попадания. Организм для развития крупозной пневмонии должен быть предварительно ослаблен. Развитию рассматриваемого заболевания способствуют такие факторы:
- вирусная или бактериальная инфекция, которая увеличивает чувствительность организма
- изменение условий питания и быта, которые снижают иммунологическую реактивность организма
- хронические болезни
- переохлаждение
- массивность инфекции
- функциональные нарушения центральной нервной системы
В некоторых случаях возникает аутоинфекционный механизм развития крупозной пневмонии. Если ребенок резко переутомился или сильно охладился, могут начать интенсивно размножаться пневмококки, проникая в нижние отделы дыхательных путей. Предполагают, что возбудитель попадает в бронхи через воздух, распространяется лимфатическими путями.
При крупозной пневмонии есть четыре стадии патоморфологических изменений в легких, которые следуют одна за одной.
Стадия 1
Это стадия прилива. Происходят серьезные сосудистые нарушения, воспалительный отек и гиперемия на пораженном участке ткани легкого. Микроскопические метода показывают капилляры и мелкие артерии, расширенные и переполненные кровью. Полости альвеол заполняются серозным экссудатом с примесью крови и клетками альвеолярного эпителия. Развивается серозное или серозно-геморрагическое воспаление. Длительность данной стадии составляет от 1 до 3 суток.
Стадия 2
Это стадия красного опеченения, длительность которой также от 1 до 3 суток. Далее усиливается диапедез эритроцитов, обогащение экссудата белками с выпадением фибрина. Легкое становится более уплотненным из-за фибринозного выпота, в котором множество нейтрофильных лейкоцитов и эритроцитов. Сдавливаются капилляры, что приводит к нарушению питания ткани легких. Масса фибрина проникает в межальвеолярные перегородки.
Стадия 3
Это стадия серого опеченения, которая длится от 2 до 6 суток. Прекращается диапедез эритроцитов и накопление в экссудате лейкоцитов. Происходит инфильтрация лейкоцитами промежуточной ткани легких вокруг капилляров и мелких вен. Легкое становится серого оттенка.
Стадия 4
Это стадия разрешения, длящаяся от 2 до 5 суток. Лейкоциты начинают выделять протеолитические ферменты, под влиянием которых фибринозный экссудат постепенно разжижается, частично рассасывается или откашливается.
У малышей после стадий прилива и эритроцитарной инфильтрации следует стадия разрешения заболевания. Происходят дегенеративные изменения мышцы сердца, почек, печени при крупозной пневмонии у ребенка. Но изменения ликвидируются, когда малыш выздоравливает.
Симптомы Крупозной пневмонии у детей:
Болезнь имеет циклическое течение, причем как у детей, так и у подростков. Условно заболевание делят на 3 периода: начало, разгар и выздоровление (разрешение). Крупозная пневмония начинается остро, с повышения температуры до 39 — 40 °С. У детей, в отличие от взрослых, редко бывает боль в боку и озноб. В первые дни у малышей может даже не быть кашля.
Характерные симптомыу детей:
- рвота
- бледность кожных покровов
- вздутие живота
- абдоминальные боли, похожие на боли при аппендиците
- учащенное дыхание
- относительно свободные экскурсии живота
- отсутствие ригидности стенки живота
- более или менее выраженное
- отставание при дыхании пораженной стороны грудной клетки
Второй вариант развития заболевания:
- высокая температура
- рвота
- сильная головная боль
- ригидность затылка
- вероятны судороги
Выше перечисленные симптомы напоминают менингит. Но по учащенному дыханию, постепенному ослаблению менингеальных явлений и появлению прочих характерных для пневмонии симптомов эти заболевания можно различить. У детей от 7 до 16 лет болезнь протекает типично. Сначала отмечают высокую температуру, боли в груди, озноб, кашель. Фиксируют поверхностное частое дыхание (30-40 за 1 минуту). Глаза ребенка блестят, на щеке пораженно половины легкого появляется румянец. На ногу и губах выскакивает герпес. Вероятны такие симптомы: возбуждение или заторможенность, галлюцинации, бред.
С первых дней крупозной пневмонии у детей в дыхательном акте участвуют вспомогательные мышцы грудной клетки, ребенок раздувает крылья носа при дыхании. Дальше при дыхании ребенок стонет и охает, кашель вызывает болезненные ощущения. Ребенок лежит в кровати на больном боку.
Врачи определяют в начале болезни усиление голосового дрожания на пораженной стороне. При выслушивании дыхание ослабленное. Чем дальше, тем более тяжелым становится состояние ребенка. Температура сохраняет высокие значения, но в редких случаях может быть интермиттирующей. В разгаре заболевания одышка становится всё больше, в постели ребенок располагается полусидя, наблюдают цианоз лица, губ, рук, ног, а также одутловатость. Характерны для разгара крупозной пневмонии у детей и такие симптомы как сухость языка и губ, откашливание вязкой стекловидной мокроты, которая имеет примесь крови (соответственно – «ржавый» оттенок). Постепенно прекращается боль в грудной клетке. Пульс ребенка достигает 120-140 ударов в минуту, наполнение слабое. Сниженное артериальное давление, увеличение печени, вздутие живота также характерны для разгара заболевания.
Читайте также:
Анкета для пациента с пневмонией
Исследования крови на пике болезни показывают лейкоцитоз со сдвигом формулы влево, повышение СОЭ, количества глобулинов, фибриногена. Уменьшается диурез, повышается относительная плотность мочи. Меняется газовый состав крови. На пятые-девятые сутки или даже ранее температура возвращается в норму, начинается период выздоровления. Изменения в легких исчезают довольно быстро, как и одышка. Мокрота отделяется легче. Подсыхают герпетические высыпания, на их месте образуются корочки. Хрипы более звучные.
Атипичные формы крупозной пневмонии:
- абортивная (начинается остро, болезнь длится 2-3 суток)
- центральная (воспаление происходит в глубоких отделах легкого, потому для диагностики обязательно нужна рентгенограмма)
- ареактивная (бывает при сниженном иммунитете у детей; начало неострое, воспалительные признаки развиваются не сразу. Характерны такие симптомы как общее недомогание, субфебрильная температура. Болезнь протекает вяло)
- массивная (воспалительный процесс быстро распространяется на другие доли легкого)
- тифоподобная (похожа на брюшной тиф, имеет постепенное начало, лихорадка длится долго, наблюдается литическое снижение температуры тела)
- мигрирующая (переход воспаления на соседние участки легкого)
- менингиальная (с самого начала заболевания выражены такие симптомы: судороги, головная боль, рвота, сонливость; есть также менингеальные симптомы. Для диагностики необходима спинномозговая пункция, она выполняет и лечебную функцию)
- аппендикулярная (похожа на аппендицит, встречается чаще при локализации процесса в нижних долях)
Осложнения крупозной пневмонии
Осложнение крупозной пневмонии встречаются крайне редко из-за современных методов лечения. Но всё же вероятны гангрена, абсцесс легкого. При осложнении состояние ребенка ухудшается, температура повышается еще больше, а количество мокроты увеличивается, она становится гнойной. Почти всегда крупозная пневмония сопровождается сухим плевритом с фибринозными наслоениями. Очень редко наблюдается карнификация легкого – прорастание его соединительной тканью и последующее развитие бронхоэктазов.
Диагностика Крупозной пневмонии у детей:
Типичная крупозная пневмония у детей распознается довольно легко по характерным симптомам, описанным выше. При диагностике крупозной пневмонии необходимо исключить очаговую сливную пневмонию, для которой характерны пестрота аускультативных данных и отсутствие цикличности течения. При сегментарной пневмонии у детей нет герпеса на носу и на губах, болезнь не протекает циклически, также отличаются рентгенограммы.
При экссудативном плеврите тупость локализируется над нижними отделами грудной клетки, есть ее характерное очертание верхней границы. При плеврите у ребенка в области тупости дыхание резко ослаблено или вовсе не прослушивается, голосовое дрожание и бронхофония не определяются. Если диагностика усложнена, проводят рентгенографию и пробную пункцию.
Также заболевание отличают от казеозной пневмонии, которая в последнее время довольна редка. Она развивается не резко, нет циклического течения, нет гиперемии лица и герпетических высыпаний на губах. В мокроте при казеозной пневмонии обнаруживаются микобактерии туберкулеза.
Лечение Крупозной пневмонии у детей:
Для лечения крупозной пневмонии у детей применяют комплексное лечение сульфаниламидами и одним из антибиотиков. Эффективен тетрациклин – дозу постепенно снижают, ориентируясь на улучшения состояния больного. Обращают внимание не только на утихание основных симптомов заболевания, но и на восстановление нарушенных функций нервной системы в случаях, протекающих со значительным токсикозом.
Если сравнивать лечение рассматриваемого заболевания у детей антибиотиками и сульфаниламидами, то стоит отметить, что при лечении антибиотиками тяжелых форм крупозной пневмонии быстрее исчезает токсикоз, меньше нарушаются функции сердечнососудистой системы, скорее восстанавливаются нарушенные виды обмена, чем при лечении сульфаниламидами.
Вероятно применение кислородной терапии. При сильных болях в местах локализации поражения применяется УВЧ терапия, иногда горчичники и кварцевое облучение. При разрешении процесса показана диатермия.
Профилактика Крупозной пневмонии у детей:
Нужно воспитывать у ребенка устойчивость организма к возбудителям каких-либо заболеваний. Следует урегулировать расписание ребенка, научить его чередовать труд (учебу) и отдых. Организуйте ребенку рациональное питание, держите в чистоте квартиру, обучите его основам гигиены. Не допускайте резких колебаний температуры, которые могут негативно сказаться на организме малыша.
Научите ребенка дышать через нос, чтобы не раздражать глотку холодным или загрязненным воздухом. При появлении острого катара дыхательных путей требуются энергичные лечебно-профилактические мероприятия, особенно у детей, повторно болевших крупозной или другой пневмонией.
Читайте также:
Как лечиться после больницы пневмонией
К каким докторам следует обращаться если у Вас Крупозная пневмония у детей:
Вас что-то беспокоит? Вы хотите узнать более детальную информацию о Крупозной пневмонии у детей, ее причинах, симптомах, методах лечения и профилактики, ходе течения болезни и соблюдении диеты после нее? Или же Вам необходим осмотр? Вы можете записаться на прием к доктору – клиника Eurolab всегда к Вашим услугам! Лучшие врачи осмотрят Вас, изучат внешние признаки и помогут определить болезнь по симптомам, проконсультируют Вас и окажут необходимую помощь и поставят диагноз. Вы также можете вызвать врача на дом. Клиника Eurolab открыта для Вас круглосуточно.
Как обратиться в клинику:
Телефон нашей клиники в Киеве: (+38 044) 206-20-00 (многоканальный). Секретарь клиники подберет Вам удобный день и час визита к врачу. Наши координаты и схема проезда указаны здесь. Посмотрите детальнее о всех услугах клиники на ее персональной странице.
Если Вами ранее были выполнены какие-либо исследования, обязательно возьмите их результаты на консультацию к врачу.
Если исследования выполнены не были, мы сделаем все необходимое в нашей клинике или у наших коллег в других клиниках.
У Вас ? Необходимо очень тщательно подходить к состоянию Вашего здоровья в целом. Люди уделяют недостаточно внимания симптомам заболеваний и не осознают, что эти болезни могут быть жизненно опасными. Есть много болезней, которые по началу никак не проявляют себя в нашем организме, но в итоге оказывается, что, к сожалению, их уже лечить слишком поздно. Каждое заболевание имеет свои определенные признаки, характерные внешние проявления – так называемые симптомы болезни. Определение симптомов – первый шаг в диагностике заболеваний в целом. Для этого просто необходимо по несколько раз в год проходить обследование у врача, чтобы не только предотвратить страшную болезнь, но и поддерживать здоровый дух в теле и организме в целом.
Если Вы хотите задать вопрос врачу – воспользуйтесь разделом онлайн консультации, возможно Вы найдете там ответы на свои вопросы и прочитаете советы по уходу за собой. Если Вас интересуют отзывы о клиниках и врачах – попробуйте найти нужную Вам информацию в разделе Вся медицина. Также зарегистрируйтесь на медицинском портале Eurolab, чтобы быть постоянно в курсе последних новостей и обновлений информации на сайте, которые будут автоматически высылаться Вам на почту.
Другие заболевания из группы Болезни ребенка (педиатрия):
Если Вас интересуют еще какие-нибудь виды болезней и группы заболеваний человека или у Вас есть какие-либо другие вопросы и предложения – напишите нам, мы обязательно постараемся Вам помочь.
Редактор
Дарья Тютюнник
Врач, судебно-медицинский эксперт
Родители должны знать о явных и скрытых симптомах пневмонии, чтобы вовремя распознать их у своего дитя. Обращение к врачу требуется при первых и малейших признаках.
Текущая статья о крупозной пневмонии – разновидности воспаления легких. Рассмотрим что это такое, а также особенности симптоматики и лечения.
Что это такое?
Крупозная пневмония – остро возникающее воспаление всей доли легкого или ее значительной части. Заболевание циклично и делится на три периода: начало, разгар и выздоровление. Длится обычно 7-10 дней.
Чаще всего крупозная пневмония возникает с какой-то одной стороны легких, а двусторонняя – редко. Классическая форма охватывает одну из долей легкого, но встречается это крайне редко, обычно поражается только один или несколько сегментов доли.
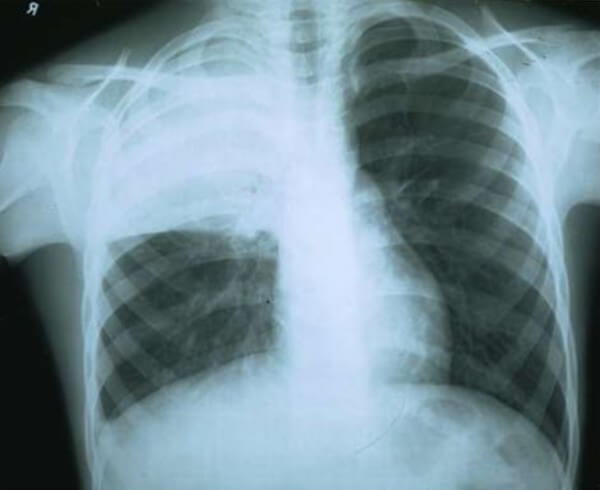
Правосторонняя крупозная пневмония на рентгене
Полезно знать! Крупозная пневмония (паренхиматозная) редко встречается у новорожденных и грудных детей, чаще – у двух-трехлетних пациентов, доминирует у дошкольников и школьников.
Стадии
Стадия прилива. Длится до 1 суток, реже – до 3. Ткань легких гиперемирована, повышается проницаемость легочных сосудов, альвеолы заполняются фибриновым экссудатом, что ведет к венозному застою в легких.
Стадия красного опеченения. Длится от 1 до 3 суток. В просвете альвеол массивно накапливаются эритроциты, между клетками выпадают нити фибрина. Таким образом, экссудат становится фибринозно-геморрагическим, его свертывание приводит к безвоздушности альвеол и ткань легких уплотняется (процесс гепатизации).
Стадия серого опеченения. Длится от 2 до 6 суток. Продолжается накопление фибрина и лейкоцитов, но в экссудате начинают разрушаться эритроциты. Пораженные участки приобретают серо-зеленый или серо-коричневый цвет, но продолжают оставаться плотными. Экссудат становится фибринозно-гнойным.
Стадия разрешения. Растягивается на несколько дней. Протолитические ферменты нейтрофилов и макрофагов расщепляют и разжижают фибрин. Экссудат резорбируется и постепенно восстанавливается просвет альвеол.
Строгую последовательность прохождения стадий при крупозном воспалении легких у детей наблюдать можно редко. Чаще проявляется смешанная морфологическая картина.
Читайте также:
Дыхательная гимнастика как профилактика застойной пневмонии
Важно! У большинства грудничков и малолеток клиника отличается от описанной выше. Новорожденные не кашляют, так как этого рефлекса у них еще нет. Младенцы пассивны, заторможены, не набирают вес.
Лечить детей с крупозной пневмонией рекомендуется в стационаре. Ребенок будет находиться под пристальным врачебным контролем и будет соблюдаться необходимый режим.
Причины возникновения
Основная причина заболевания – проникновение в ткань легкого пневмококка. Реже крупозную пневмонию могут вызывать диплобациллы или другие патогенные микроорганизмы ( стафилло- и стрептококки).
В клинической практике встречаются случаи, когда бактериальная и вирусная инфекция у ребенка имеет место быть одновременно. В данном случае первичным процессом является вирус, а затем, при сниженном иммунитете присоединяется патогенная микрофлора.
Способствующие заражению факторы
- снижение иммунитета;
- ухудшение пищевого рациона и бытовой обстановки;
- предшествующее вирусное или бактериальное инфицирование;
- чрезмерное охлаждение;
- хронические заболевания;
- нарушения со стороны центральной нервной системы.
Жалобы ребенка
- на тошноту, рвоту, отрыжку;
- озноб или потливость;
- боль в животе;
- головная боль;
- боль в груди;
- кашель, одышка;
- сухость во рту.
Симптомы
Крупозной пневмонии характерно острое начало. Резко повышается температура тела до 39-40 градусов. Кашля и других респираторных признаков сначала может и не быть.
При крупозном воспалении возникает острая колющая боль на стороне воспаления различной интенсивности, иррадиирующая в живот или плечо. Как правило, боль проходит через 2-3 дня, в противном случае – это тревожный сигнал развития эмпиемы плевры.
С самого начала крупозной пневмонии к дыхательному акту ребенка подключаются вспомогательные мышцы груди. При дыхании у него раздуваются крылья носа, кашель вызывает боль, он кряхтит, охает и стонет, лежит на больном боку.
Среди других симптомов можно отметить следующее:
- Снижается артериальное давление.
- Кашель в первые 2 дня болезни малопродуктивный, затем с выделением белой пенистой мокроты, позже она становится вязкой, содержащей кровянистые прожилки.
- Дыхание больного ребенка частое ( от 25 до 50 раз в минуту), поверхностное с одышкой, затрудненное на вдохе и с визуальным отставанием пораженной половины грудной клетки.
- Кожа тела сухая и горячая, а кожа рук и ног становится холодной с синеватым оттенком. Также отмечается цианоз губ и румянец на щеке со стороны воспаления.
- Появляются признаки интоксикации.
- Довольно часто можно наблюдать герпетические высыпания в области лица и шеи.
- Часто вздувается живот.
- Увеличивается печень.
Частота дыхания 60 и более вдохов в минуту у малышей до года считается учащенной. При пневмонии дети в возрасте старше 1,5 лет вдыхают и выдыхают около 50 раз за 60 секунд, при норме до 30 раз.
В разгар болезни патологически меняется состав крови:
- повышение количества лейкоцитов (формула сдвигается влево),
- высокая скорость оседания эритроцитов (СОЭ);
- увеличение числа глобулинов,
- повышенное количество фибриногена.
- уменьшение количества мочи, но при этом повышается ее плотность.
Лечение
При лечении крупозной пневмонии у детей используют антибактериальные средства. В настоящее время известно более 200 антибиотиков, изготавливаемых различными фирмами и реализующимися под 600 наименованиями. Как правило, врачи применяют защищенные пенициллины (аугментин, амоксиклав и т.д.) или антибиотики цефалоспоринового ряда 2 и 3 поколений (цефоперазон, цефалексин, цефтриаксон, цефуроксим).
При необходимости, используются макролиды (азитромицин, эритромицин, ревамицин). При тяжелой пневмонии могут назначить аминогликозиды или сочетать различные группы препаратов.
Часто стартовая антибактериальная терапия назначается опытным путем, до получения информации о возбудителе заболевания. Антибиотики назначают детям при выраженной интоксикации и высокой температуре, которая держится более 3 дней.
Правильно подобранная стартовая терапия дает эффект в течение первых двух суток лечения: понижается температура, пневмонические признаки не нарастают, улучшается самочувствие.
При отсутствии эффекта назначается альтернативная схема лечения – заменяется антибиотик.
Кроме антибактериальной терапии педиатры назначают бронхорасширяющие препараты, отхаркивающие и противоаллергические, а также витамины.
В тяжелых случаях проводят посиндромную терапию, направленную на поддержание дыхательной функции, работы сердца и сосудов, адекватной реакции со стороны нервной системы ребенка.
Дополнительные методы лечения подключаются в стадии выздоровления. Доктор может назначить физио- и рефлексотерапию, лечебную физкультуру, гомеопатические средства и фитопрепараты.
Иммуномодуляторы назначает иммунолог уже после выздоровления, при необходимости.
При эффективном лечении на стадии разрешения болезни на 5-7 день спадает температура и ее значения приходят в норму, ослабевает одышка, герпес подсыхает, патологические изменения в легких пропадают и ребенок поправляется.
Справочные материалы (скачать)
Кликните по нужному документу для скачивания:
Заключение
После пневмонии дети, особенно раннего возраста, должны наблюдаться у педиатра, а при наличии детского пульмонолога – у него. Для скорейшего выздоровления ребенку необходимо полноценное питание, гигиенические мероприятия, адекватная физиотерапия.




