Левосторонняя пневмония – представляет собой самую редкую форму развития инфекционного процесса в лёгких из двух существующих разновидностей. Несмотря на это, болезнь представляет большую угрозу для жизни пациента. Основной причиной развития заболевания выступает патологическое влияние болезнетворных микроорганизмов, которые проникают в левое лёгкое крайне редко и зачастую при сильном ослаблении иммунитета. Помимо этого, врачи выделяют большое количество предрасполагающих факторов.
Клинические признаки поражения левого лёгкого практически ничем не отличаются от воспаления правой доли. Наиболее характерными проявлениями принято считать значительное повышение температуры, сильный кашель, жжение и боли в левой части грудной клетки.
Диагноз левосторонняя пневмония устанавливается на основании результатов инструментальных обследований, которые будут дополняться лабораторными исследованиями и физикальным осмотром.
Лечение зачастую консервативное, однако при тяжёлом протекании или развитии осложнений потребует проведения хирургического вмешательства.
Этиология
Подобная разновидность очаговой пневмонии передаётся от больного человека к здоровому воздушно-капельным путём. Зачастую происходит это во время чихания, потому что из дыхательных путей выделяются болезнетворные агенты, которые совместно с частичками жидкости проникают в лёгкие окружающих.
При слабой иммунной системе такие бактерии начинают активно увеличивать свою численность, отчего возникает местный воспалительный процесс в лёгочной ткани. Примечательно то, что левое лёгкое поражается намного реже правого сегмента, что обуславливается спецификой общего кровотока и строения этого органа.
Наиболее часто в качестве возбудителей выступают:
- пневмококки;
- гемофильные палочки;
- стафилококки;
- кишечные или синегнойные палочки;
- энтеробактерии и вирусы;
- клебсиелла.
Также довольно часто левостороння пневмония у ребёнка или взрослого выступает в качестве осложнения не полностью вылеченного заболевания вирусного или острого респираторного характера. Среди таких патологий стоит выделить:
- фарингит;
- тонзиллит;
- ангину;
- бронхит;
- ОРВИ.
Помимо этого, предрасполагающими факторами приято считать:
- длительное переохлаждение организма;
- протекание сахарного диабета или хронических заболеваний лёгких;
- наличие сердечной недостаточности;
- малоподвижный образ жизни, в частности, соблюдение длительного постельного режима;
- многолетнее пристрастие к вредным привычкам, в особенности к распитию алкогольных напитков;
- перенесённые ранее хирургические операции – примечательно то, что вовсе не обязательно, чтобы вмешательство проводилось в области грудной клетки. Воспаление лёгких – это одно из самых распространённых последствий любой операбельной терапии.
Все вышеуказанные факторы приводят к тому, что у человека понижается сопротивляемость иммунной системы. Стоит отметить, что основную группу риска составляют дети и люди преклонного возраста.
Классификация
Воспаление лёгочной ткани при левосторонней пневмонии может протекать в нескольких формах:
- типичной – характеризуется заражением одним из вышеуказанных болезнетворных микроорганизмов;
- атипичной – развивается на фоне проникновения специфических инфекционных агентов, к которым стоит отнести – пневмоцитов, микоплазму, хламидии и легионеллу;
- аспирационной – воспаление формируется в тех случаях, когда в дыхательные пути попадают посторонние предметы, рвотные массы или частички пищи.
В зависимости от того, где произошло инфицирование, недуг делится на две формы:
- внутрибольничная левосторонняя пневмония – исходя из названия, становится понятно, что заражение произошло в медицинском учреждении. При этом воспалительный процесс может возникнуть у пациентов в первые несколько суток нахождения в условиях стационара, у больных, которым необходима искусственная вентиляция лёгких или у лиц, перенёсших пересадку донорского органа;
- внебольничная левосторонняя пневмония – это означает, что заражение произошло за пределами больницы.
Отдельно выделяют левостороннюю пневмонию, связанную с оказанием медицинской помощи.
В зависимости от особенностей клинической картины различают несколько разновидностей болезни:
- левосторонняя верхнедолевая пневмония;
- левосторонняя центральная пневмония;
- левосторонняя нижнедолевая пневмония.
Несмотря на наличие таких типов недуга, зачастую диагностируется полисегментарная пневмония.
Помимо этого, специалисты из области пульмонологии выделяют крупозную и плевропневмонию.
По характеру протекания левосторонняя полисегментарная пневмония бывает:
- хронической;
- затяжной;
- острой.
В зависимости от механизма развития подобная патология делится на:
- первичную – выступает в качестве самостоятельного недуга;
- вторичную – является осложнением сопутствующих заболеваний;
- посттравматическую;
- послеоперационную;
- инфаркт-пневмонию.
Симптоматика
Поскольку в подавляющем большинстве случаев воспаление лёгких обуславливается патологическим влиянием инфекционных агентов, то стоит отметить, что продолжительность инкубационного периода при типичной форме будет продолжаться до трёх суток, а при атипичном течении – до трёх недель.
Наиболее часто встречается острая левосторонняя полисегментарная пневмония, для которой характерно постепенное развитие.
Первыми признаками воспалительного процесса в левом лёгком выступают:
- постоянный кашель без мокроты;
- возрастание температуры до 39 градусов;
- продолжительность лихорадки более трёх суток.
Если при выражении таких клинических проявлений обратиться за квалифицированной помощью, то можно избежать развития осложнений.
Симптомы пневмонии
По мере прогрессирования недуга, помимо вышеуказанной симптоматики появятся следующие симптомы:
- повышенное потоотделение, особенно в ночное время суток;
- слабость и разбитость;
- мышечные и суставные боли;
- учащённое дыхание;
- боли и першение в горле;
- сильные болевые ощущения в груди с левой стороны;
- приступы тошноты и рвоты;
- головные боли и головокружение;
- стильная одышка даже в состоянии покоя;
- выделение мокроты с кашлем.
Стоит отметить, что у детей недуг протекает сложнее, нежели сегментарная пневмония у взрослых. В таких случаях специфическими признаками будут служить:
- патологический румянец на лице ребёнка;
- нездоровый блеск в глазах;
- спутанность сознания;
- синюшность губ и ногтевых пластин;
- полное отсутствие аппетита;
- понижение физической активности;
- интенсивные боли в грудине, усиливающиеся во время дыхания.
Кроме этого, клиническую картину будут дополнять проявления того недуга, на фоне которого мог сформироваться воспалительный процесс верхней, центральной или нижней доли левого лёгкого.
Опасность левосторонней очаговой пневмонии заключается в том, что левое лёгкое и бронх расположен близко к сердцу. Именно по этой причине при появлении одного или нескольких из вышеуказанных симптомов необходимо как можно скорее пройти обследование у врача и начать лечение.
Диагностика
Чтобы поставить правильный диагноз, пульмонологу необходимы результаты лабораторно-инструментальных обследований, однако диагностика не ограничивается лишь такими мероприятиями.
Прежде всего, клиницисту необходимо:
- ознакомится с историей болезни и жизненным анамнезом пациента – для выяснения болезни-провокатора левосторонней полисегментарной пневмонии;
- провести тщательный физикальный осмотр грудной клетки и прослушать лёгкие при помощи специального инструмента – фонендоскопа;
- детально опросить пациента на предмет того, когда появились и с какой интенсивностью выражаются симптомы воспаления.
Лабораторная диагностика ограничивается осуществлением:
- общеклинического анализа крови;
- биохимии крови;
- бактериального посева крови;
- анализом мокроты, выделяемой при кашле.
Однако наибольшей диагностической ценностью обладают следующие инструментальные обследования:
- рентгенография грудины;
- фибробронхоскопия;
- эхокардиография;
- УЗИ плевральной полости;
- КТ органов грудной полости.
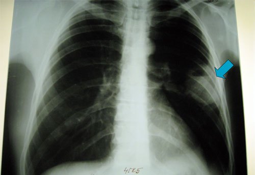
Рентгенограмма левосторонней пневмонии
Левосторонняя очаговая пневмония должна быть дифференцирована с воспалением правого лёгкого.
Лечение
После уточнения диагноза пациента немедленно госпитализируют в отделение пульмонологии. Прежде всего, показано медикаментозное лечение левосторонней пневмонии, которое включает в себя приём:
- антибактериальных средств – это основные лекарства, используемые при терапии подобного недуга;
- отхаркивающих веществ;
- дезинтоксикационных медикаментов;
- глюкокортикостероидов;
- иммуномодуляторов;
- жаропонижающих и других препаратов, направленных на устранение симптоматики.
Читайте также:
Как определить пневмонию у взрослого в домашних
При тяжёлом течении полисегментарной пневмонии у детей и взрослых обращаются к кислородотерапии и искусственной вентиляции лёгких.
Хирургическое вмешательство необходимо при неэффективности консервативных методик терапии или в случаях развития осложнений.
Возможные осложнения
Игнорирование симптомов или неадекватное лечение может повлечь за собой развитие как лёгочных, так и внелегочных последствий. Первая категория включает в себя:
- распространение воспалительного процесса на плевру;
- абсцесс и гангрену левого лёгкого;
- бронхообструктивный синдром;
- бронхопневмонию;
- локальный пневмосклероз – зачастую выражается у беременной женщины;
- острую дыхательную недостаточность.
Внелегочные осложнения представлены:
- инфекционно-токсическим шоком;
- миокардитом;
- менингитом;
- анемией.
Все вышеуказанные осложнения относят как к взрослым, так и к детям.
Профилактика и прогноз
Специфические профилактические мероприятия против левосторонней очаговой пневмонии представлены иммунизацией – введением вакцин против возбудителей подобного заболевания.
Общая профилактика воспаления левого лёгкого заключается в соблюдении таких правил:
- ведение здорового и в меру активного образа жизни;
- избегание переохлаждения организма;
- укрепление иммунитета;
- своевременное лечение патологий, которые могут привести к развитию левосторонней пневмонии;
- регулярное прохождение полного медицинского обследования.
В 70% случаев ранняя диагностика и комплексное лечение позволяют достичь полного выздоровления. Менее благоприятный прогноз наблюдается при появлении воспаления лёгких на фоне иного заболевания. В таких ситуациях высока вероятность возникновения осложнений болезни-провокатора. Летальность среди детей варьируется от 10 до 30%.
https://youtube.com/watch?v=pG31jD_b0nc
Все ли корректно в статье с медицинской точки зрения?
Ответьте только в том случае, если у вас есть подтвержденные медицинские знания
Читать нас на Яндекс.Дзен
Заболевания со схожими симптомами:
Воспаление лёгких (официально – пневмония) – это воспалительный процесс в одном или обоих дыхательных органах, который обычно имеет инфекционную природу и вызывается различными вирусами, бактериями и грибками. В древние времена эта болезнь считалась одной из самых опасных, и, хотя современные средства лечения позволяют быстро и без последствий избавиться от инфекции, недуг не потерял своей актуальности. По официальным данным, в нашей стране ежегодно около миллиона людей страдают воспалением лёгких в той или иной форме.
…
Тонзиллит (совпадающих симптомов: 18 из 20)
Тонзиллит – это воспалительный процесс, возникающий в области небных миндалин и характеризующийся длительностью собственного течения. Тонзиллит, симптомы которого также определяют в качестве более распространенного названия заболевания «ангина», заключается в патологических изменениях ротоглотки, схожих между собой, но отличающихся особенностями собственной этиологии и течения.
…
Желтуха (совпадающих симптомов: 16 из 20)
Желтуха – патологический процесс, на формирование которого влияет большая концентрация в крови билирубина. Диагностировать недуг могут как у взрослых, так и у детей. Вызвать такое патологическое состояние способно любое заболевание, и все они абсолютно разные.
…
Отек легких (совпадающих симптомов: 14 из 20)
Заболевание, которому присуще формирование лёгочной недостаточности, представленной в виде массового выхода транссудата из капилляров в лёгочную полость и в итоге способствующее инфильтрации альвеол, называется отёком лёгких. Говоря простыми словами, отёк лёгких — это положение, когда в лёгких застаивается жидкость, просочившаяся через кровеносные сосуды. Недуг характеризуется как самостоятельный симптом и может сформироваться на основании других серьёзных недомоганий организма.
…
Синдром хронической усталости (сокр. СХУ) представляет собой такое состояние, при котором возникает психическая и физическая слабость, обусловленная неизвестными факторами и длящаяся от полугода и более. Синдром хронической усталости, симптомы которой, как предполагается, в некоторой мере связаны с инфекционными заболеваниями, помимо этого тесно связан с ускоренным темпом жизни населения и с возросшим информационным потоком, буквально обрушивающимся на человека для последующего им восприятия.
…
Пневмония — это инфекционное заболевание, по частоте встречаемости стоит на первом месте среди других острых инфекционных патологий. Заболевание не имеет четких возрастных пределов, но наиболее часто поражает детей в возрасте до семи лет и пожилых людей. Патология характеризуется воспалительным поражением легочной ткани и внутриальвеолярной экссудацией.
ВАЖНО ЗНАТЬ! Гадалка баба Нина: «Денег всегда будет в избытке, если под подушку положить…» Читать подробнее >>
У детей до года чаще возникает вирусная пневмония, после года на первые места по частоте выходят бактериальные пневмонии (пневмококк и гемофильная палочка), а также воспаления легких смешанного генеза: вирусно-бактериальные. У взрослых и пожилых также преобладают бактериальные формы пневмоний, у людей с ослабленным иммунитетом на первое место выходят нетипичные возбудители (клебсиеллы, хламидии, микоплазмы). Лечение таких пневмоний будет отличаться от обычных.
Что это такое?
Левосторонняя пневмония встречается гораздо реже правосторонней. Проникать возбудителям в левое легкое труднее. Это объясняется анатомическими особенностями строения трахеобронхиального дерева. Правый бронх шире, он как бы продолжает трахею через которую и проникают вирусы, бактерии, грибы. Поэтому, как говорят медики, нужно еще суметь “подхватить” левостороннюю пневмонию.
Несмотря на эти характеристики, левосторонняя пневмония являет собой существенную опасность для жизни пациента.
Если микробы попадают в левый бронх, то это говорит о чрезмерно слабом иммунитете, лечение осложнено ещё и тем, что к поражённому участку затруднена доставка лекарств, кровоснабжение там слабее.
Левосторонняя пневмония возникает как осложнение из-за не до конца вылеченного вирусного или остро респираторного заболевания, особенно у людей с иммунодефицитом. Такой процесс длится долго, меняются схемы лечения, подбирается адекватная терапия. Заболевание часто рецидивирует.
Международная классификация болезней в 10-й (МКб-10) поправке гласит, что воспаление лёгких относится к классу Х – болезни органов дыхания. Класс кодируется буквой J.
Современная медицинская система провозглашает главенствующим этиологический принцип. В России, руководствуясь различными взглядами, распознавание возбудителя проводится не всегда. Чаще всего болезнь получает класс J18, что соответствует пневмонии с неуточнённой этиологией.
Симптомы среднедолевой пневмонии
Заболевание сопровождается экссудацией внутриальвеолярного типа. Отмечается вовлечение в воспалительный процесс плевры. Речь может идти о воспалении крупозного типа.
Если говорить о клинической симптоматике, то надо отметить признаки, которые связаны с общей интоксикацией организма. Наблюдается недостаточность мукоцилиарного вида и синдромы, которые связаны с уплотнением тканей лёгких.
Если наблюдается крупозный вариант, то в начальной фазе отмечается острое течение болезни, сопровождающееся лихорадкой и характерным ознобом.
Потом к этим признакам прибавляются болевые ощущения в правой части груди во время вдохов или при кашле. Первоначально во время кашля наблюдается выделение мокроты слизистого типа. Постепенно она переходит в так называемое «ржавое» состояние.
Классификация
В общем смысле врачи разделяют пневмонию на правостороннюю и левостороннюю. Правосторонняя возникает чаще.
Читайте также:
Как умирает человек от пневмонии
По очагу возникновения пневмонию делят на:
- Верхнедолевую – пневмония в верхней доли часто развивается стремительно.
- Нижнедолевую – развитию пневмонии нижней доли содействуют болезни сердца. Она диагностируется чаще верхнедолевой.
В зависимости от места инфицирования патология также делится на:
- Внутрибольничную левостороннюю – заражение происходит в больнице или ином медицинском учреждении.
- Внебольничную левостороннюю – заражение происходит за границами больницы, в домашних условиях или в общественных местах.
Подробнее о классификации >>
Возможные осложнения
В большинстве случаев лечение пневмонии проходит без осложнений. Однако для людей, находящихся в группе риска, оно может представлять опасность. Заболевание может перейти в хроническую форму, из-за чего может ухудшиться качество жизни человека. Кроме того, пневмония может привести к обострению любых хронических болезней.
При приеме некоторых препаратов может появиться кожная сыпь, диарея, рвота. При возникновении таких симптомов требуется проконсультироваться с врачом. Длительный прием антибиотиков может также привести к дисбактериозу кишечника.
Причины
Левосторонняя пневмония передаётся не только воздушно-капельным путём. Существуют также и другие способы заражения:
- Инфекция попадает в лёгкое вместе с лимфой или кровью из внелёгочных очагов поражения – операция, травма, введение наркотиков внутрь нестерильной иглой.
- Инфекционный эндокардит.
- Вовремя невылеченное острое заболевание левого лёгкого.
Помимо этих, существуют и другие причины. Это может быть никотиновая зависимость, переохлаждение организма, стрессы, алкоголизм, ВИЧ и частые заболевания лёгочной системы.
Факторами риска, касающимися этого заболевания, также считают малоподвижный образ жизни, сахарный диабет, перенесённые раннее хирургические операции, аутоиммунные процессы, онкология, другие.
Причины и признаки очагового типа
Тип пневмонии характерен тем, что присутствуют синхронно ряд воспалительных очагов, имеющие разные этапы своего формирования. Наблюдается лихорадка и смена улучшенного состояния человека резким ухудшением.
Смена протекает по дугообразному принципу. Эта патология характеризуется многовариантностью изменений, часто определить её бывает сложно.
В качестве характерных признаков очаговой пневмонии являются: дыхание жёсткого характера, хрипы по влажному типу. Ещё наблюдаются похрипывания сухие и влажные.
Если же говорить конкретно, то существует несколько характерных симптомов этого заболевания:
- Повышение показателей температуры тела, от 37 до 39 градусов, на протяжении продолжительного времени.
- Присутствие постоянных позывов к кашлю.
- В ситуации, когда присутствует даже самая маленькая физическая нагрузка, наблюдается одышка.
- Слабость, которая постоянно усугубляется.
- Часто отмечается состояние озноба. Лечить его надо симптоматическим путём, как бы долго это не продолжалось.
- Во время глубокого вдоха в области груди наблюдаются ощущения болезненного типа.
- При этом заболевании формируется мокрота. Иногда даже она бывает с небольшими прожилками крови.
Симптомы у взрослых
Признаки пневмонии в легком слева по сути не отличаются от пневмонии иной локализации. Больной сталкивается с температурой, превышающей норму, слабостью, кашлем, лихорадкой и другими показателями, которые говорят о заболевании лёгочной системы организма.
Отличительным симптомом является синюшность вокруг губ, носа и ногтевых пластин на руках. В целом, симптомы левосторонней пневмонии типичны.
Если говорить именно об особенностях левосторонней пневмонии, то ей характерны боли в левой части груди. При дыхании, когда вздымается грудина происходит отставание левой части. Это бывает хорошо заметно особенно у детей.
В детском возрасте симптоматика левосторонней пневмонии более выражена. Ее часто путают с другими детскими болезнями. Поэтому необходимо вовремя дифференцировать пневмонию, независимо от ее локализации.
Подробнее о симптомах у взрослых >>
Как проявляется и лечится правосторонняя верхнедолевая пневмония?
Как видно из названия болезни, правосторонняя верхнедолевая пневмония развивается в верхней части правого легкого. Протекает это заболевание тяжело. Пострадавшего одолевает одышка, лихорадка с возможным переходом в состояние бреда.
Пневмония поражает правое легкое намного чаще, чем левое. Это связано с анатомическим строением организма: правый бронх более короткий и широкий, поэтому инфекции легче распространяться по нему.
Воспаление легких еще одно название пневмонии. Заболевание было очень опасным до момента открытия пенициллина. В данное время болезнь хорошо лечится, особенно в том случае, если диагностировано в начале своего развития. Но около 5 процентов от числа заболевших умирают и по сей день. Поэтому к пневмонии надо относиться серьезно.
Заболевания инфекционно-воспалительного характера трудно отличить друг от друга, поэтому заболевший не всегда понимает, просто ли он простудился или уже начинает развиваться более серьезная болезнь.
При правосторонней пневмонии воспалительный процесс развивается в правом легком. Соответственно, левосторонняя затрагивает левое.
Виноваты в развитии болезни бактерии пневмококки и клебсиеллы. Человеческий организм, в который они попадают, например, воздушно-капельным путем, не сразу реагирует на их присутствие.
Возбудители на какое-то время задерживаются на слизистых оболочках, например, носа или гортани.
Заболевание еще не начинает одолевать человека, но его иммунная система понимает, что появились инородные организмы, и пора готовиться к борьбе с ними.
Если по какой-то причине иммунитет слабеет, бактерии со слизистых перемещаются в легкие. Здесь происходит их активное размножение. Причиной снижения иммунитета может быть переохлаждение, простуда, повторный контакт с заболевшим человеком.
Верхнедолевая пневмония отличается от других тяжелым течением болезни. Самочувствие больного ухудшается очень резко. Он ощущает длительную лихорадку. Возможно наступление бреда. Происходит отравление всего организма, здоровье других систем нарушается.
Этому заболеванию наиболее подвержены люди пожилого возраста и те, у кого есть проблемы с иммунной системой.
Симптомы заболевания напоминают лихорадку:
- больного постоянно знобит;
- он испытывает мышечную ломоту;
- его изводят сильные головные боли.
Верхнедолевая пневмония проявляется внезапно. Если вечером больной и испытывал некоторое недомогание, то настолько незначительное, что никак не связывал это с возможным недугом. А уже утром наступают трудности с дыханием: оно становится поверхностным. Человек даже боится глубоко вздохнуть, так как испытывает при этом боль. Начинается болезненный кашель, сухой и изматывающий.
Симптомы и лечение фарингита и ларингита
Появившаяся температура не сбивается, а если и удается это сделать, то только на короткое время. Постепенно присоединяются следующие симптомы:
- пищеварительные проблемы, тошнота;
- белки глаз желтеют из-за разрушения в крови эритроцитов;
- на губах появляются высыпания;
- в состоянии покоя одышка не прекращается.
Иногда наступает состояние, подобное тому, что бывает при менингите. Порой больного преследуют галлюцинации.
Диагностика
Заподозрить пневмонию можно ссылаясь на анамнез пациента, а также при выполнении аускультации. Подтвердить диагноз с высокой точностью вероятности возможно при помощи рентгена легких в прямой и боковой проекциях. На снимке специалисту видно, где расположен очаг воспаления и на сколько он объемный.
Читайте также:
Какая должна быть соя при пневмонии
В дополнение пациенту назначают следующие диагностические исследования:
- бронхоскопию;
- рентгеноскопию;
- компьютерную томограмму;
- бакпосев мокроты;
- общий анализ крови и мочи.
Подробнее обо всех исследованиях при диагностике пневмонии >>
Диагностические мероприятия
Диагностикой проблем подобного профиля занимаются специалисты-пульмонологи. В исключительных случаях можно довериться терапевту. В ходе первичного осмотра проводится устный опрос пациента на предмет жалоб, характера, типа, давности и длительности.
Производится сбор анамнеза. Необходимо выявить факторы возможного заражения. Определить, чем болел и болеет пациент. Так врач сможет определиться с вектором дальнейшего обследования пациента.
В дальнейшем назначаются специализированные диагностические мероприятия:
- Общий анализ крови. Дает картину типичного воспаления с лейкоцитозом, повышением скорости оседания эритроцитов (СОЭ).
- Биохимия венозной крови.
- Рентгенографическое исследование органов грудной клетки. На рентгене пораженный сегмент выглядит затемненным или, при позднем этапе течения болезни, чрезмерно осветленным.
- Бронхоскопия (при спорных случаях).
- МРТ-диагностика или КТ-исследование. Назначается в наиболее сложных клинических случаях.
Определившись с заболеванием и верифицировав диагноз, специалист может назначить грамотное лечение.
Лечение
После уточнения диагноза больного в обязательном порядке госпитализируют в пульмонологическое отделение. После проведения экстренной диагностики составляют схему терапии, которая включает информацию о том, сколько и чем будет лечиться больной. В первую очередь пациенту назначают медикаментозное лечение левосторонней пневмонии. Оно представляет собой прием следующих препаратов:
- антибактериальных;
- отхаркивающих;
- противовоспалительных;
- дезинтоксикационных;
- глюкокортикостероидов;
- иммуномодуляторов;
- жаропонижающих и других средств, которые помогут снять симптомы.
Главное в медикаментозном лечении – правильный подбор антибиотиков, который основывается на типе возбудителя и истории болезни пациента. Антибактериальное лечение дает возможность устранить бактерию, которая и вызвала патологию. Правильно подобранный препарат действует буквально после первого-второго приема. При тяжёлом состоянии больного врачи также проводят кислородотерапию и искусственную вентиляцию лёгких.
При возникновении осложнений, а также при недостаточном действии уже названных методик, иногда пациенту требуется хирургическое вмешательство.
Нижнедолевая форма и ее нюансы
Врачи всё чаще отмечают у пациентов правостороннюю нижнедолевую пневмонию. При таком течении болезни часто не возникают главные симптомы, в числе которых: высокие показатели температуры тела, мокрота и кашель.
Особая опасность этой формы пневмонии состоит в том, что в ситуации, когда диагностика проведена недостаточно корректно, проведённое лечение становится причиной формирования последствий.
Форма заболевания обычно развивается, когда происходит обострение в виде воспалительного процесса слева.
В ситуации, когда иммунная система человека ослаблена ввиду разных факторов, бактерии патогенного характера начинают своё бурное развитие на бронхах. Характерным является много очагов мелкого размера.
Специалисты отмечают несколько характерных проявлений, по которым можно говорить о такой форме протекания заболевания:
- Присутствие у пациента сильного озноба, он сопровождается потливостью и повышением температуры тела.
- Наличие у человека кашля с выделением мокроты вязкого типа.
- Во время кашля наблюдается проявление прожилок кровавого типа.
- Если человек пытается сделать глубокий вдох, то он сразу ощущает в правой половине груди болевые ощущения.
Заразна или нет?
В случае, когда левосторонняя пневмония передаётся воздушно-капельным путём, она заразна. В результате резкого выброса микробов из лёгкого (кашель, чихание), бактерии выходят из дыхательных путей и проникают в организм другого человека. Если его иммунитет ослаблен, болезнь быстро развивается.
Подробнее о заразности пневмонии >>
Левосторонняя нижнедолевая пневмония
Проблема локализуется преимущественно в дыхательных путях, нижних отделах легких. Левосторонняя нижнедолевая пневмония чаще всего формируется при инфицировании бронхов.
У взрослых пациентов симптоматика может протекать смазано, признаки болезни практически себя не выявляют, что существенно усложняет процесс определения заболевания и диагностику.
Основными признаками левосторонней пневмонии нижнедолевого типа выступают следующие показатели:
- Сильный озноб;
- Слабость и вялость всего организма;
- Появление отдышки при любых физических нагрузках;
- Лихорадка;
- Болезненность и колики в грудной клетке, особенно во время вдыхания;
- Боль в носоглотке;
- Влажный кашель, с хорошо отходящей мокротой;
- Тошнота и обильная рвота;
- Головная боль сильного характера и головокружение.
Если вовремя не определить протекание заболевания, последствия могут быть не только серьезными, но и плачевными.
Профилактика и прогноз
Из профилактических мероприятий проводят иммунизацию – введение вакцины против возбудителей пневмонии.
В основном, общая профилактика состоит в наблюдении за своим организмом, ведении здорового образа жизни, а также в том, чтобы вовремя обращаться за специализированной медицинской помощью.
В 70% из всех фиксированных случаев ранняя диагностика позволяет достичь полного выздоровления больного. Менее положительный сценарий врач констатирует при развитии болезни на фоне другого очага инфекций. В таких случаях повышается процент вероятности осложнений болезни-провокатора.
Важно! Среди детей летальность при постановке диагноза (левосторонняя пневмония) составляет от 10 до 30%.
Этиология
Зачастую возбудителем пневмонии выступает пневмококк, а точнее, различные штаммы этого микроорганизма, однако не исключается влияние других болезнетворных бактерий, например:
- стрептококк;
- стафилококк;
- гемофильная палочка;
- микоплазма;
- хламидии.
В случаях, когда возбудителя воспаления лёгких выявить не удалось, то ставится диагноз «неуточненная долевая пневмония».
Стоит отметить, что источник заболевания может на протяжении длительного времени жить в носоглотке человека.
Примечательно то, что острая фаза воспаления может наступить у совершенно здорового человека, но при условии влияния некоторых предрасполагающих факторов.
Выделяют несколько путей проникновения возбудителя недуга:
- через бронхи;
- лимфогенный путь;
- гематогенный путь.
Очень часто крупозная долевая пневмония возникает на фоне таких заболеваний:
- сахарный диабет;
- ХОБЛ;
- туберкулёз;
- ОРВИ или грипп;
- злокачественные новообразования в органах дыхательной системы.
Среди предрасполагающих факторов клиницисты выделяют:
- длительное влияние на организм холодных температур;
- злоупотребление вредными привычками, в частности, курением;
- снижение сопротивляемости иммунной системы;
- перенесённые тяжёлые травмы, в особенности грудной клетки;
- тяжёлые физические нагрузки;
- частое влияние стрессовых ситуаций или эмоциональная неустойчивость;
- производственные вредности;
- неблагоприятный микроклимат проживания человека, а именно постоянная сырость или наличие плесени в помещении.
Доли лёгкого
Клинические рекомендации и истории болезни (скачать)
| # | Файл | Размер файла |
| 1 | Клинический протокол. Пневмония у взрослых | 458 KB |
| 2 | Стандарт специализированной медицинской помощи при пневмонии средней степени тяжести | 373 KB |
| 3 | Внебольничная пневмония у взрослых — практические рекомендации по диагностике, лечению и профилактике (пособие для врачей). РРО, МАКМАХ | 715 KB |
| 4 | История болезни. Острая левосторонняя нижнедолевая пневмония. Парапневмонический левосторонний фибринозный плеврит | 119 KB |
| 5 | История болезни. Внебольничная левосторонняя пневмония средней степени тяжести | 46 KB |
| 6 | История болезни. Внебольничная левосторонняя нижнедолевая пневмония, средней степени тяжести. Диффузный пневмосклероз. Эмфизема легких. Дыхательная недостаточность, II стадия | 153 KB |

