Редактор
Анна Сандалова
Пульмонолог, врач высшей категории
Рентген является современным способом диагностики многих заболеваний дыхательной системы. Без него часто не обойтись при постановки диагноза пневмонии у детей.
Современная медицинская клиника использует рентген для уточнения вида и стадии воспаления легких и позволяет назначить более точное и эффективное лечение.
В ряде случаев без рентгена можно и обойтись. Так, при нетяжелой внебольничной пневмонии не всегда целесообразно проводить рентген-подтверждение пневмонии. В таких ситуациях важно сразу назначить антибактериальную терапию.
Виды
Рентгенография – это негативное изображение органа, отображаемое на фотопленке. Снимок получается за счет различных проекций, направленных на исследуемый участок организма. По изображению проводят оценку состояния органа и определяют патологии или проблемные зоны.
В современной медицине используют следующие виды рентгена для диагностики не только воспаления легких, но и других заболеваний:
- Томография – это исследование органа с помощью послойной рентгенографии. Для этого используют классический или спиральный компьютерный томограф.
- Рентгеноскопия – осмотр осуществляется при помощи специального рентгеновского экрана. Это позволяет рассмотреть анатомические характеристики органа и дать комплексную оценку функциональному состоянию.
- Флюорография – исследование органов грудной клетки с помощью получения уменьшенных в масштабе снимков. Количество лучей, которые проходят через организм пациента также уменьшено.
Аппарат для рентгенологического исследования
Чаще всего в современной клинической медицине назначают рентгенографию как оптимальный вариант для диагностики различных заболеваний.
Как работает аппарат?
Принцип работы данного устройства достаточно прост – лучевая трубка аппарата пускает пучок рентгеновских лучей, который проходит через тело пациента и проецирует изображение на специальной пленке. Процесс напоминает метод получения фотографии, но благодаря тому, что органы человека по-разному пропускают лучи, в результате получаются снимки с различной негативной окраской. Мягкие ткани отображаются серыми, полости имеют черный окрас, а кости на снимке получаются белыми (из-за поглощения излучения).
Пояснения, как читать снимок
Различают 2 типа рентгенографии:
- обзорная (рассматриваются легкие в целом);
- прицельная (исследуют отдельный фрагмент органа).
Диагностика пневмонии у детей с помощью рентгена вызывает ряд некоторых трудностей. Связано это с небольшим объемом легочной ткани и большим количеством структурных элементов на маленькую площадь, которая подлежит исследованию. Из-за этого появляется сложность в правильной оценке легочного рисунка, а также диагностирования состояния легочных корней и лимфоузлов.
Как читать снимки?
Самым распространенным признаком пневмонии у детей, которые проявляются на снимках, являются очаговые тени в нижних сегментах легких диаметром 1-2 мм.
Затемнения на снимках могут быть разными и их подразделяют так:
- 3 мм – маленькие;
- 4-7 мм – средние;
- 8-12 мм – крупные;
- 12 и больше мм – фокусные.
Поражения легких бывают таких форм:
- в виде овалов;
- круглые;
- кольцевидные.
Схема аппарата
Разные виды патологий на фото
При рентгенографическом исследовании каждый вид пневмонии выглядит по разному и таким образом заболевание можно диагностировать. Рассмотрим различные виды пневмоний, их изображения на снимках и пояснения.
Очаговая
Очаговая (или очагово-сливная) форма пневмонии – очаги инфильтрации имеют диаметр 0,5-1 см и локализуются в одном или нескольких сегментах легкого. Иногда поражения могут располагаться билатерально. Легочная ткань воспаляется катарально, при этом в просвете образуются альвеолы серозного экссудата. Если очаговая форма переходит в очагово-сливную, отдельные участки инфильтрации объединяются в один большой очаг, который нередко может занимать целую долю.
На снимке видны отдельные небольшие очаги поражения ( 1-1,5 см), расположенные в одном из легких (при билатеральной форме – в обоих). Заметным в данном случае будет расширение корней легких из-за наполнения жидким экссудатом.
Снимок при очаговой пневмонии
Сегментарная
Сегментарная пневмония – воспаляется целый сегмент легкого. Данная форма пневмонии может осложниться ателектазом (спадением части легкого с полной потерей его воздушности. Сегментарная форма воспаления может быть проявлением длительной затяжной пневмонии, переходящей в легочный фиброз или осложненной локальным хроническим бронхитом. На рентген-снимках виден целый сегмент, пораженный воспалением.
Снимок при сегментарной пневмонии
Крупозная
Крупозная пневмония – гиперергическое воспаление, которое проходит следующие стадии: прилив, красное и серое опеченение и период разрешения.
На снимках видно, что воспалительный процесс локализуется лобарно или сублобарно (то есть поражается доля легкого) с вовлечением плевры. Легочный рисунок при этом изменяется, а легочные корни расширяются. Видны застои жидкости в плевральной полости. С течением болезни тени на снимках становятся темнее.
Крупозная пневмония
Абсцедирующая
При абсцедирующей пневмонии на снимке отчетливо видно тотальное затемнение области инфильтрации и уплотнение плевры; наблюдаются полости до 2 см, в которых скапливается гнойная жидкость.
Фотоснимок при абсцедирующей пневмонии
Интерстициальная
Интерстициальная пневмония – поражения очагового или диффузного характера, протекают с инфильтрацией интерстициальной ткани. У детей данная форма пневмонии вызвана вирусами или пневмоцистами.
На снимке наблюдается увеличение сосудистого пучка и увеличение корней легких. Заметным становится интенсивный силуэт «ветки дерева», что является специфическим признаком болезни.
Фото при интерстициальной пневмонии
Аспирационная
При аспирационной пневмонии на рентген-снимке видны закупорки бронхов в виде треугольных теней. Диафрагма при этом приподнята.
Читайте также:
После пневмонии призывают в армию
Снимок при аспирационной пневмонии
Показания для исследования
Обследование с помощью рентгена назначается пациенту, когда появляются подозрения на воспаление легких. Причиной для направления на рентген могут выступать следующие симптомы:
- кашель («мокрый», с обильной влажностью и мокротой);
- хрипы при прослушивании легких;
- повышенный уровень лейкоцитов и лимфоцитов в крови.
Одновременно с рентгеном или перед этой процедурой проводят внешний осмотр больного и берут лабораторные анализы. С помощью рентген-снимков определяют воспалительные участки, локализацию очагов, изменения легочного рисунка и корней, а также патологию расположения диафрагмы.
Противопоказания
Абсолютных и кардинальных противопоказаний к диагностике с помощью рентгенографии в современной медицине нет. Тем не менее, есть некоторые рекомендации, когда эта процедура будет нежелательной.
Беременным женщинам и детям до 16 лет рентген делают только в особых случаях, когда диагностика другим способом не дает полную картину и не позволяет с точностью поставить диагноз и в дальнейшем – лечение.
Связано это с тем, что облучение негативно воздействует на геном растущей клетки. Если рентген все же необходим, рекомендуют проводить диагностирование с помощью прицельного снимка – участок облучения будет значительно меньшим.
Противопоказаниями также являются:
- наличие открытых ран;
- кровотечение;
- тяжелое состояние больного.
Педиатр, врач высшей категории
Задать вопрос
Контрастный рентген не желательно проходить людям с сахарным диабетом или болезнями щитовидной железы, кормящим матерям или аллергикам. Детям нужно делать рентгенографию как можно реже, только для уточнения диагноза или исследования динамики.
Другие методы
Помимо рентген-снимков, картину заболевания исследуют и другими клиническими методами. Этиологическая диагностика – это исследование выделений из носа и зева (вирусологическое и бактериологическое). Кроме того проводят бакпосев мокроты. Внутриклеточные возбудители воспаления выявляют с помощью ИФА и ПРЦ.
Важно! Детям, у которых есть подозрения на пневмонию с осложнениями, проводят комплексное исследование биохимических показателей крови. В частности, проверяют печеночные ферменты, креатинин, КОС, электролиты.
Необходимость дополнительных методов диагностики пневмонии у детей объясняется особенностями симптоматики. Часто признаки воспаления легких принимают за другие детские болезни (ОРВИ, бронхит, туберкулез, бронхиолит).
При типичном воспалении легких диагностику и лечение проводит участковый педиатр. Если же болезнь уже перешла в осложненную форму или сопровождается нетипичными симптомами, необходима консультация пульмонолога.
Для более точной диагностики проводят компьютерную рентген-диагностику легких.
Полезное видео
На видео ниже опытный врач рассказывает интернам как читать рентгенограмму легких:

Справочные материалы (скачать)
Заключение
В целом, рентгенографические исследования дают возможность вовремя диагностировать пневмонию как у детей, так и у взрослых. Современная аппаратура и приборы дают точную проекцию органов дыхательной системы, благодаря чему можно точно определить:
- форму заболевания;
- локализацию очагов воспаления;
- интенсивность поражения.
Рентген-исследования во время лечения помогут увидеть динамику и процесс выздоровления. Применение других методов диагностики увеличивает возможность получить комплексную и более детальную картину заболевания, что повышает эффективность и точность назначенного лечения.
Уважаемые читатели, если вам не сложно поделиться вашими картинками рентгена с описанием, то мы будем очень благодарны. Картинку можно прикрепить к сообщению в комментариях.
Рентгенограмма грудной клетки до сих пор остаётся «золотым стандартом» диагностики большинства патологий дыхательной системы.
Пневмония не является исключением, признаки патологии несложно обнаружить на снимке. Рентген важен для постановки точного диагноза, а также играет ключевую роль в дифференциальном исследовании. Важно иметь общее представление как выглядит пневмония у взрослых и детей.
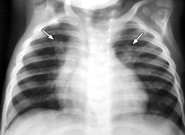
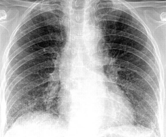
Рентген снимок атипичной пневмонии
Атипичная пневмония — собирательный термин, включающий инфекционно-воспалительные поражения тканей лёгких. Причинами являются нехарактерные возбудители — микоплазма, хламидия, легионелла, вирусы. Воспаление лёгких протекает с повышением температуры, одышкой, общим недомоганием.
Диагностировать патологический процесс можно при помощи рентгена. Так, для микоплазменной формы характерна неоднородная инфильтрация лёгочной ткани, она может определяться слабо или быть среднеинтенсивной.
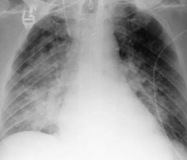
При легионеллезной, на снимке видно уплотнения (инфильтраты) округлой формы, локализующиеся на поверхности одной доли лёгкого. В ряде случаев наблюдается слияние инфильтратов.
У 25% пациентов одновременно с пневмонией определяется плеврит, с незначительным скоплением секрета в плевральной полости.
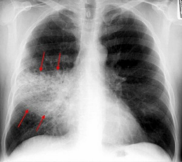
Правосторонняя бронхо- пневмония
Практически невозможно отличить пневмонию Legionella от других, основываясь на таком методе обследования. Присутствие легионеллы или хламидии подтверждается серологическим анализом крови.
Отдельное внимание стоит уделить воспалению неинфекционной этиологии. Одна из таких форм — инфаркт-пневмония, развивающаяся на фоне тромба, попавшего из лёгочной артерии в лёгкое. На рентгеновском изображении выступает как очаговое поражение с относительно чётким контуром.
Другой тип неинфекционного воспаления лёгочной ткани — аспирационный. Причиной выступает содержимое пищеварительного тракта, попавшее в дыхательные пути. Этот тип патологии характеризуется многообразием симптомов, которые имитируют различные заболевания лёгких.
Как правило, на снимке однородный очаг, контуры относительно чёткие. С целью контроля лечения аспирационной пневмонии рекомендуется проходить повторный рентген.
Как выглядит заболевание на рентгеновском снимке
Признаки воспаления лёгких на снимке называют «затемнениями», отображаются они белым цветом, поскольку само изображение является негативом.
Пятна и рентген-признаки:
- До 3 мм — мелкоочаговые.
- До 7 мм — среднеочаговые.
- До 12 мм — крупноочаговые.
- От 12 мм и более — фокусные.
Читайте также:
Какие симптомы пневмонии у кошки
Пневмония на снимке, в частности затемнения, характеризуются следующим образом:
- Распространённые. Визуализируют в пределах одного сегмента.
- Субтотальные. Затемнение большей части поля органа или нескольких сегментов.
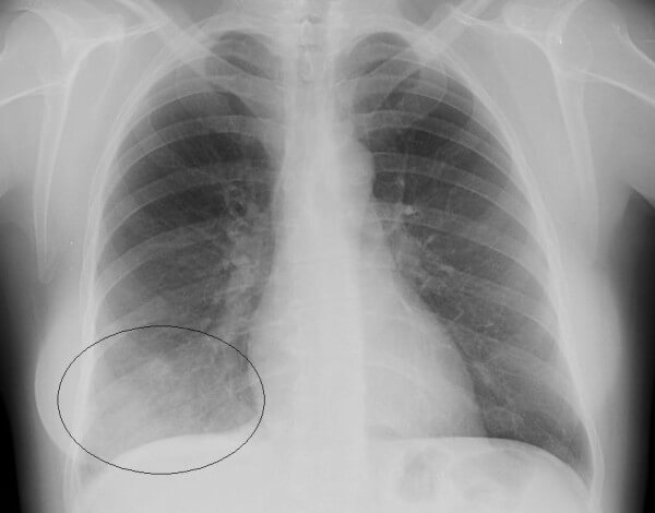
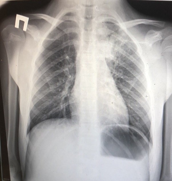
- Тотальные. Патологический процесс охватывает всю область лёгочной ткани. Сильная пневмония слева
Дифференциация пневмонии от других патологий лёгких
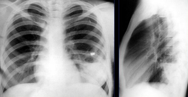
Важным этапом постановки диагноза остаётся отличие её от других заболеваний лёгких, коронавируса. Так, при бронхите будет отсутствовать затемнение на снимке, вместо этого — усиление лёгочного рисунка.
Усиление лёгочного рисунка
В случае присутствия инородного тела, наблюдается затемнение с чёткими краями, локализующееся в нижней доле лёгкого. Спутать с воспалением типичного характера сложно.
При плеврите, на снимке скопление экссудата в поражённой области. Плеврит выступает в качестве осложнения недолеченной пневмонии.
При пневмотораксе присутствует характерный уровень жидкости. На снимке отображается как просветление, лёгочный рисунок не просматривается.
Рентгеновский снимок является основным обследованием, а в случае необходимости назначается компьютерная томография.
Пневмония на детских рентген-снимках
Пневмония на рентгенограмме у пациентов детского возраста не имеет выраженных отличий от взрослых, патология также характеризуется очагами просветления и затемнения. У детей в воспалительный процесс вовлекаются нижние отделы лёгких.
Рентгенография показывает следующее:
- очаговые затемнения диаметром 1-2 мм;
- увеличение внутригрудных лимфоузлов;
- деформация и усиление лёгочно-сосудистого рисунка;
- повышенная плотность затемнения (запущенная патология);
- в области патологического очага изменяется структура и размер лёгочного корня.
Хоть общая картина детского рентгена не различается от взрослого, некоторая разница имеется. Первое — повышенная реактивность функций иммунной системы. Поэтому даже незначительный инфильтрат способен спровоцировать воспалительную реакцию на обеих долях лёгкого.
При постановке диагноза ребёнку можно ошибиться, что связано с небольшим объёмом лёгочной ткани и повышенным присутствием лёгочного рисунка.
Можно ли не проводить рентгенографию при воспалении лёгких? Действительно, диагностика при подозрении на пневмонию не является обязательным исследованием. Но отказ от рентгенограммы не даст врачу установить диагноз, а следовательно — назначить адекватное лечение. Альтернативными методами диагностики являются КТ и МРТ.
Рентгенография при COVID-19. Опыт ГКБ №40 ДЗМ (Коммунарка)(видео)

Рентгенография грудной клетки – один из наиболее информативных методов диагностики заболеваний дыхательной системы, включая пневмонию. Он позволяет не только выявить патологический процесс, определить его локализацию и особенности, но и оценить эффективность проводимого лечения. Как же выглядят рентгенологические признаки пневмонии на снимках, и как проводится рентгенография при данной патологии?
В каких целях проводят рентгенографию
Пневмония представляет собой воспалительное заболевание, которое вызывают патогенные микроорганизмы – вирусы, бактерии, грибки. Симптомы включают повышение температуры до 38-39 градусов, кашель, одышку, хрипы в грудной клетке, ухудшение общего самочувствия. Сложность диагностики пневмонии заключается в том, что вышеперечисленные признаки характерны не только для воспаления легких, но и для других заболеваний – острого бронхита, плеврита, онкологических процессов и т.д.
Рентгеновское исследование основывается на сканировании внутренних органов с помощью специального аппарата, который излучает электромагнитные волны определенной длины. Проходя сквозь ткани человеческого тела, они оставляют на поверхности пленки следы, из которых формируется изображение соответствующего органа. По ней можно определить патологические изменения и составить полную картину разных заболеваний, в том числе воспалительных процессов в респираторных органах.
В число показаний к проведению рентгена грудной клетки входит кашель с обильным отделением мокроты, сильная лихорадка (38-39 градусов), озноб, боли в груди и другие признаки, которые могут свидетельствовать о патологических процессах в органах дыхательной системы.
ВАЖНО! Постановка диагноза при пневмонии должна основываться не только на рентгеновских снимках, но и на результатах выслушивания грудной клетки, анализов крови и мокроты и других методах обследования.
Существует два основных способа проведения процедуры – обычный (пленочный) рентген и цифровой, который позволяет получить более четкие и информативные снимки, а также снижает рентген-нагрузку на организм. Выбор методики зависит от оснащения конкретного медицинского учреждения – аппараты для цифровой диагностики есть далеко не во всех больницах и поликлиниках.
Чем отличается от флюорографии
Рентгеновское и флюорографическое исследование имеют один и тот же принцип, но при диагностике пневмонии предпочтение отдается рентгену.
Флюорография позволяет выявить изменения в тканях легких на ранних стадиях, но не дает достаточно четкой рентгенологической картины для постановки точного диагноза.
Вместе с тем, коэффициент облучения при проведении процедуры гораздо меньше, чем при рентгеновском исследовании, поэтому флюорографию делают в профилактических целях, а рентген – непосредственно для диагностики патологических процессов при наличии соответствующих симптомов.
Может ли не показать воспаление легких
Пневмония имеет множество форм клинического течения, а очаги воспаления могут располагаться в любом сегменте легких, и в некоторых случаях определить заболевание по рентгенограмме бывает непросто, особенно если поражен небольшой участок органа. Если после проведения исследования у врача остаются сомнения, больному назначаются дополнительные диагностические процедуры – как правило, КТ или МРТ.
СПРАВКА! Труднее всего выявить пневмонию у детей, страдающих от иммунодефицитных состояний, поэтому в таких случаях ребенка лучше сразу направлять на КТ или МРТ.
Как выглядит недуг на снимке
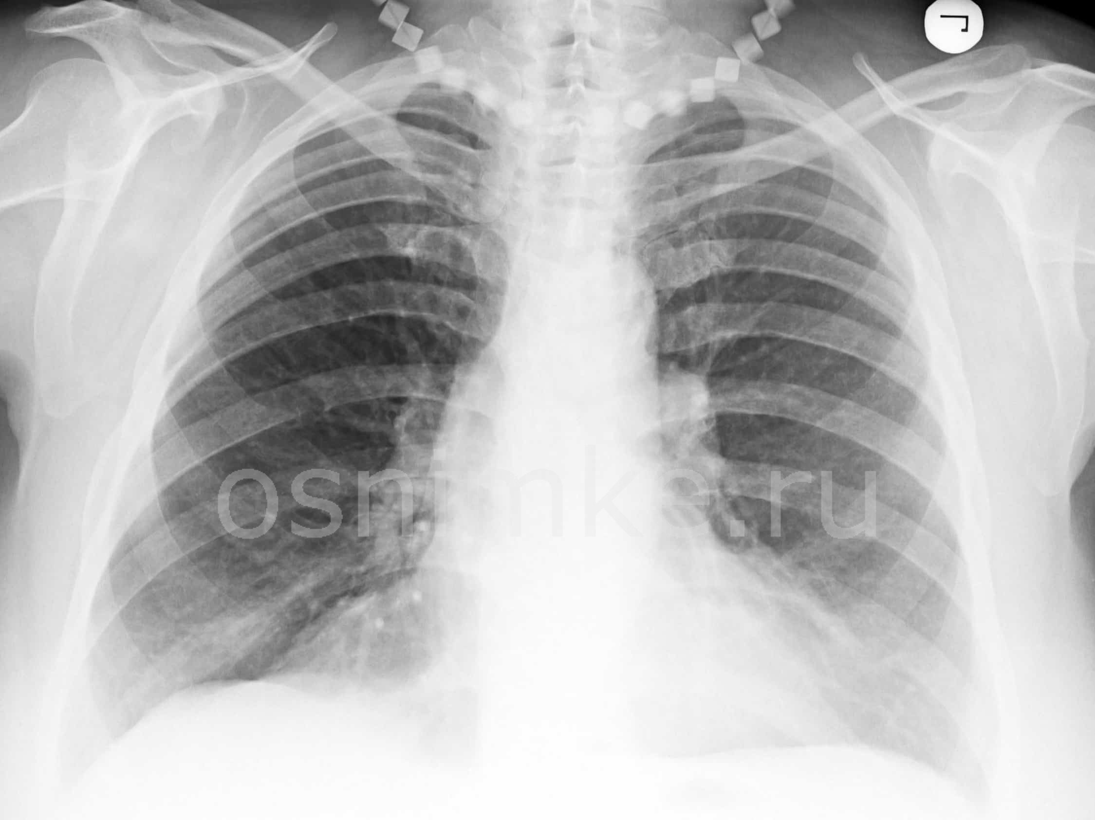
После проведения рентгенографии снимки должен изучить специалист, и на основе полученных данных и результатов других исследований сделать соответствующие выводы и поставить диагноз. В норме легкие и бронхи человека выглядят следующим образом:
- легочные доли имеют одинаковый, равномерный черный оттенок;
- в районе сердца наблюдается белый просвет;
- ребра и ключицы серые, с привычными очертаниями;
- купола диафрагмы белого цвета;
- позвоночный столб расположен в центре.
Читайте также:
Грудной сбор после пневмонии для детей
Признаки пневмонии на рентгеновском снимке во многом зависят от формы заболевания и его стадии, а также от локализации патологического процесса. Если исследование показало признаки пневмонии, необходимо как можно скорее приступить к лечению – запущенный патологический процесс опасен не только для здоровья, но и для жизни человека.
Основные признаки, описание
Первый признак пневмонии на рентгеновском снимке – появление очагов затемнения с неровными контурами в разных частях легкого, которые могут иметь разный размер, от 3-4-х до 12 мм.
Тени различают по внешнему виду (круглые, овальные кольцевидные) и интенсивности окраски – чем темнее пятно, тем сильнее выражен патологический процесс.
При поражении лимфатических узлов и нарушении кровоснабжения органа могут наблюдаться изменения корней легких, а если болезнь затронула плевру – нарушение в рисунке куполов диафрагмы. В остальном проявления пневмонии зависят от стадии, формы и клинических особенностей заболевания:
- Очаговая форма. На рентгене отображаются небольшие (1-1,5 см) тени со слабой или умеренной интенсивностью окраски, неоднородной структурой и нечеткими границами. Очаги поражения могут быть единичными или множественными, а в некоторых случаях они сливаются в одно большое пятно. Корни легких расширены, причем нарушения нормального рисунка органа могут сохраняться в течение нескольких дней после выздоровления.
- Крупозная пневмония. Наблюдаются изменения нормального легочного рисунка, жидкость в полости плевры, признаки инфильтрации одной из долей легкого, расширение корней. По мере развития воспалительного процесса выраженность изменений и интенсивность окраски затемнений усиливается.
- Интерстициальная форма. На снимке заметно уплотнение корней легких и другие изменения, которые формируют выраженный рисунок, напоминающий ветви дерева.
- Абсцедирующая пневмония. Проявляется обширным затемнением пораженной области, признаками утолщения плевры и наличием полостей разного размера, наполненных жидкостью.
- Аспирационная форма. Рентген характеризуется треугольными пятнами с однородной структурой, светлыми очагами и приподнятой диафрагмой.
ВАЖНО! Сложнее всего поддается диагностике очаговая пневмония – на первых стадиях она проявляется небольшими очагами инфильтрации, которые не всегда заметны на рентгене.
Стадии заболевания
Воспалительный процесс при пневмонии протекает в несколько этапов, причем каждый из них характеризуется определенными изменениями на рентгеновских снимках.
- Стадия прилива. Первая стадия болезни продолжается от 12 до 72 часов и проявляется усилением кровообращения в легких, ухудшением их функций и образованием жидкости в альвеолах. На снимках наблюдается четкий рисунок органа, который напоминает решетку, размытость крайних точек и увеличение корней.
- Стадия опеченения. Ткани легких уплотняются, и становится похожей на ткани печени. Рисунок легких на данной стадии выражен не так интенсивно, на нем формируются темные пятна со светлыми полосами, корни органа расширены, причем особенно это заметно на пораженной стороне. По мере развития патологического процесса очаги воспаления затемняются, а наличие жидкости хорошо заметно на снимках.
- Стадия разрешения. Начало регенерации тканей легких: снижение интенсивности рисунка органа и окраски затемнений, исчезновение крупных элементов в месте поражения и признаков наличия жидкости.
СПРАВКА! Изменения в легочном рисунке могут присутствовать на протяжении нескольких недель после выздоровления.
Как часто можно проходить рентгенодиагностику
В среднем рентгенологическое исследование рекомендуется проходить не более 1-2-х раз в год, но при пневмонии процедура проводится чаще, так как риск развития осложнений превышает опасность от радиационного облучения. Как правило, рентген выполняется не менее 3-х раз – при постановке диагноза «пневмония», через 3-5 дней после начала терапии для контроля ее эффективности, а также после исчезновения клинических симптомов. Повторные снимки после выздоровления больного надо делать для предупреждения осложнений и последствий заболевания – абсцессы легких, разрастание фиброзной ткани и т.д.
Противопоказания
Относительными противопоказаниями к проведению процедуры являются беременность (особенно первый триместр) и тяжелое состояние больного. Однако при наличии характерных симптомов процедура рекомендована всем без исключения, в том числе будущим мамам – для уменьшения негативного воздействия на плод живот беременной закрывают специальным фартуком, который не пропускает рентгеновские лучи. Точно определить пневмонию без рентгеновского снимка практически невозможно – из-за отсутствия специфических симптомов слишком велика вероятность ошибки и неправильного лечения.
Полезное видео
Ознакомьтесь подробно о рентгенографии при пневмонии на видео ниже:
https://youtube.com/watch?v=zY1jZjlbYwA
Пневмония – опасное заболевание, которое при отсутствии соответствующей терапии может привести к серьезным последствиям. Единственным способом выявить патологические изменения в легких является рентген, поэтому не стоит пренебрегать данной процедурой – своевременное исследование поможет предотвратить угрозу не только для здоровья, но и для жизни больного.
Оцените статью:
Загрузка…






















