Рентгенография грудной клетки – один из наиболее информативных методов диагностики заболеваний дыхательной системы, включая пневмонию. Он позволяет не только выявить патологический процесс, определить его локализацию и особенности, но и оценить эффективность проводимого лечения. Как же выглядят рентгенологические признаки пневмонии на снимках, и как проводится рентгенография при данной патологии?
В каких целях проводят рентгенографию
Пневмония представляет собой воспалительное заболевание, которое вызывают патогенные микроорганизмы – вирусы, бактерии, грибки. Симптомы включают повышение температуры до 38-39 градусов, кашель, одышку, хрипы в грудной клетке, ухудшение общего самочувствия. Сложность диагностики пневмонии заключается в том, что вышеперечисленные признаки характерны не только для воспаления легких, но и для других заболеваний – острого бронхита, плеврита, онкологических процессов и т.д.
Рентгеновское исследование основывается на сканировании внутренних органов с помощью специального аппарата, который излучает электромагнитные волны определенной длины. Проходя сквозь ткани человеческого тела, они оставляют на поверхности пленки следы, из которых формируется изображение соответствующего органа. По ней можно определить патологические изменения и составить полную картину разных заболеваний, в том числе воспалительных процессов в респираторных органах.
В число показаний к проведению рентгена грудной клетки входит кашель с обильным отделением мокроты, сильная лихорадка (38-39 градусов), озноб, боли в груди и другие признаки, которые могут свидетельствовать о патологических процессах в органах дыхательной системы.
ВАЖНО! Постановка диагноза при пневмонии должна основываться не только на рентгеновских снимках, но и на результатах выслушивания грудной клетки, анализов крови и мокроты и других методах обследования.
Существует два основных способа проведения процедуры – обычный (пленочный) рентген и цифровой, который позволяет получить более четкие и информативные снимки, а также снижает рентген-нагрузку на организм. Выбор методики зависит от оснащения конкретного медицинского учреждения – аппараты для цифровой диагностики есть далеко не во всех больницах и поликлиниках.
Чем отличается от флюорографии
Рентгеновское и флюорографическое исследование имеют один и тот же принцип, но при диагностике пневмонии предпочтение отдается рентгену.
Флюорография позволяет выявить изменения в тканях легких на ранних стадиях, но не дает достаточно четкой рентгенологической картины для постановки точного диагноза.
Вместе с тем, коэффициент облучения при проведении процедуры гораздо меньше, чем при рентгеновском исследовании, поэтому флюорографию делают в профилактических целях, а рентген – непосредственно для диагностики патологических процессов при наличии соответствующих симптомов.
Может ли не показать воспаление легких
Пневмония имеет множество форм клинического течения, а очаги воспаления могут располагаться в любом сегменте легких, и в некоторых случаях определить заболевание по рентгенограмме бывает непросто, особенно если поражен небольшой участок органа. Если после проведения исследования у врача остаются сомнения, больному назначаются дополнительные диагностические процедуры – как правило, КТ или МРТ.
СПРАВКА! Труднее всего выявить пневмонию у детей, страдающих от иммунодефицитных состояний, поэтому в таких случаях ребенка лучше сразу направлять на КТ или МРТ.
Как выглядит недуг на снимке
После проведения рентгенографии снимки должен изучить специалист, и на основе полученных данных и результатов других исследований сделать соответствующие выводы и поставить диагноз. В норме легкие и бронхи человека выглядят следующим образом:
- легочные доли имеют одинаковый, равномерный черный оттенок;
- в районе сердца наблюдается белый просвет;
- ребра и ключицы серые, с привычными очертаниями;
- купола диафрагмы белого цвета;
- позвоночный столб расположен в центре.
Признаки пневмонии на рентгеновском снимке во многом зависят от формы заболевания и его стадии, а также от локализации патологического процесса. Если исследование показало признаки пневмонии, необходимо как можно скорее приступить к лечению – запущенный патологический процесс опасен не только для здоровья, но и для жизни человека.
Основные признаки, описание
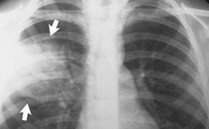
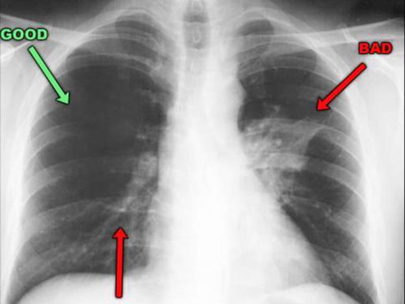
Первый признак пневмонии на рентгеновском снимке – появление очагов затемнения с неровными контурами в разных частях легкого, которые могут иметь разный размер, от 3-4-х до 12 мм.
Тени различают по внешнему виду (круглые, овальные кольцевидные) и интенсивности окраски – чем темнее пятно, тем сильнее выражен патологический процесс.
При поражении лимфатических узлов и нарушении кровоснабжения органа могут наблюдаться изменения корней легких, а если болезнь затронула плевру – нарушение в рисунке куполов диафрагмы. В остальном проявления пневмонии зависят от стадии, формы и клинических особенностей заболевания:
- Очаговая форма. На рентгене отображаются небольшие (1-1,5 см) тени со слабой или умеренной интенсивностью окраски, неоднородной структурой и нечеткими границами. Очаги поражения могут быть единичными или множественными, а в некоторых случаях они сливаются в одно большое пятно. Корни легких расширены, причем нарушения нормального рисунка органа могут сохраняться в течение нескольких дней после выздоровления.
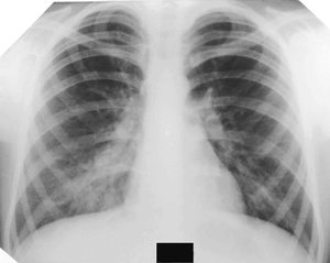
- Крупозная пневмония. Наблюдаются изменения нормального легочного рисунка, жидкость в полости плевры, признаки инфильтрации одной из долей легкого, расширение корней. По мере развития воспалительного процесса выраженность изменений и интенсивность окраски затемнений усиливается.
- Интерстициальная форма. На снимке заметно уплотнение корней легких и другие изменения, которые формируют выраженный рисунок, напоминающий ветви дерева.
- Абсцедирующая пневмония. Проявляется обширным затемнением пораженной области, признаками утолщения плевры и наличием полостей разного размера, наполненных жидкостью.
- Аспирационная форма. Рентген характеризуется треугольными пятнами с однородной структурой, светлыми очагами и приподнятой диафрагмой.
ВАЖНО! Сложнее всего поддается диагностике очаговая пневмония – на первых стадиях она проявляется небольшими очагами инфильтрации, которые не всегда заметны на рентгене.
Стадии заболевания
Воспалительный процесс при пневмонии протекает в несколько этапов, причем каждый из них характеризуется определенными изменениями на рентгеновских снимках.
- Стадия прилива. Первая стадия болезни продолжается от 12 до 72 часов и проявляется усилением кровообращения в легких, ухудшением их функций и образованием жидкости в альвеолах. На снимках наблюдается четкий рисунок органа, который напоминает решетку, размытость крайних точек и увеличение корней.
- Стадия опеченения. Ткани легких уплотняются, и становится похожей на ткани печени. Рисунок легких на данной стадии выражен не так интенсивно, на нем формируются темные пятна со светлыми полосами, корни органа расширены, причем особенно это заметно на пораженной стороне. По мере развития патологического процесса очаги воспаления затемняются, а наличие жидкости хорошо заметно на снимках.
- Стадия разрешения. Начало регенерации тканей легких: снижение интенсивности рисунка органа и окраски затемнений, исчезновение крупных элементов в месте поражения и признаков наличия жидкости.
СПРАВКА! Изменения в легочном рисунке могут присутствовать на протяжении нескольких недель после выздоровления.
Как часто можно проходить рентгенодиагностику
В среднем рентгенологическое исследование рекомендуется проходить не более 1-2-х раз в год, но при пневмонии процедура проводится чаще, так как риск развития осложнений превышает опасность от радиационного облучения. Как правило, рентген выполняется не менее 3-х раз – при постановке диагноза «пневмония», через 3-5 дней после начала терапии для контроля ее эффективности, а также после исчезновения клинических симптомов. Повторные снимки после выздоровления больного надо делать для предупреждения осложнений и последствий заболевания – абсцессы легких, разрастание фиброзной ткани и т.д.
Читайте также:
Как узнать что пневмония прошла
Противопоказания
Относительными противопоказаниями к проведению процедуры являются беременность (особенно первый триместр) и тяжелое состояние больного. Однако при наличии характерных симптомов процедура рекомендована всем без исключения, в том числе будущим мамам – для уменьшения негативного воздействия на плод живот беременной закрывают специальным фартуком, который не пропускает рентгеновские лучи. Точно определить пневмонию без рентгеновского снимка практически невозможно – из-за отсутствия специфических симптомов слишком велика вероятность ошибки и неправильного лечения.
Полезное видео
Ознакомьтесь подробно о рентгенографии при пневмонии на видео ниже:
https://youtube.com/watch?v=zY1jZjlbYwA
Пневмония – опасное заболевание, которое при отсутствии соответствующей терапии может привести к серьезным последствиям. Единственным способом выявить патологические изменения в легких является рентген, поэтому не стоит пренебрегать данной процедурой – своевременное исследование поможет предотвратить угрозу не только для здоровья, но и для жизни больного.
Оцените статью:
Загрузка…
Рентгенограмма грудной клетки до сих пор остаётся «золотым стандартом» диагностики большинства патологий дыхательной системы.
Пневмония не является исключением, признаки патологии несложно обнаружить на снимке. Рентген важен для постановки точного диагноза, а также играет ключевую роль в дифференциальном исследовании. Важно иметь общее представление как выглядит пневмония у взрослых и детей.
Рентген снимок атипичной пневмонии
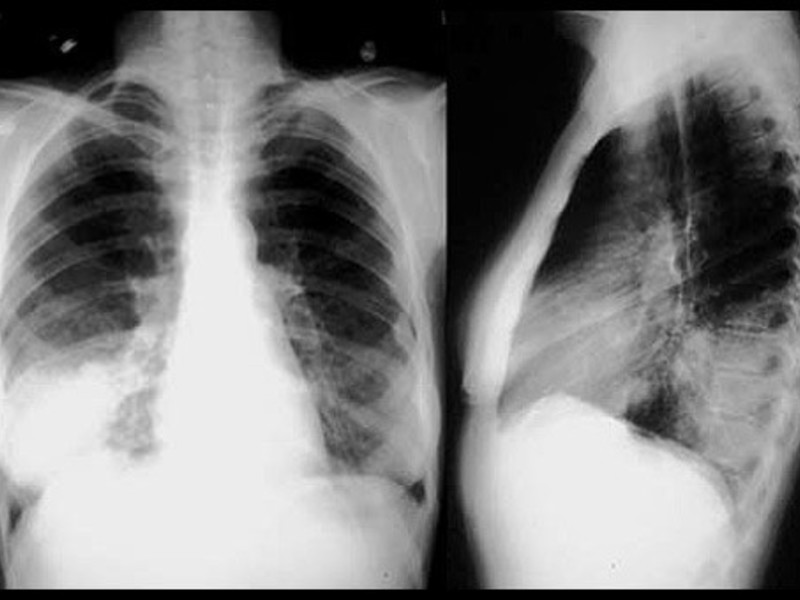
Атипичная пневмония — собирательный термин, включающий инфекционно-воспалительные поражения тканей лёгких. Причинами являются нехарактерные возбудители — микоплазма, хламидия, легионелла, вирусы. Воспаление лёгких протекает с повышением температуры, одышкой, общим недомоганием.
Диагностировать патологический процесс можно при помощи рентгена. Так, для микоплазменной формы характерна неоднородная инфильтрация лёгочной ткани, она может определяться слабо или быть среднеинтенсивной.
При легионеллезной, на снимке видно уплотнения (инфильтраты) округлой формы, локализующиеся на поверхности одной доли лёгкого. В ряде случаев наблюдается слияние инфильтратов. У 25% пациентов одновременно с пневмонией определяется плеврит, с незначительным скоплением секрета в плевральной полости.
Правосторонняя бронхо- пневмония
Практически невозможно отличить пневмонию Legionella от других, основываясь на таком методе обследования. Присутствие легионеллы или хламидии подтверждается серологическим анализом крови.
Отдельное внимание стоит уделить воспалению неинфекционной этиологии. Одна из таких форм — инфаркт-пневмония, развивающаяся на фоне тромба, попавшего из лёгочной артерии в лёгкое. На рентгеновском изображении выступает как очаговое поражение с относительно чётким контуром.
Читайте также:
Пневмония в стадии рассасывания чем лечить
Другой тип неинфекционного воспаления лёгочной ткани — аспирационный. Причиной выступает содержимое пищеварительного тракта, попавшее в дыхательные пути. Этот тип патологии характеризуется многообразием симптомов, которые имитируют различные заболевания лёгких. Как правило, на снимке однородный очаг, контуры относительно чёткие. С целью контроля лечения аспирационной пневмонии рекомендуется проходить повторный рентген.
Как выглядит заболевание на рентгеновском снимке
Признаки воспаления лёгких на снимке называют «затемнениями», отображаются они белым цветом, поскольку само изображение является негативом.
Пятна и рентген-признаки:
- До 3 мм — мелкоочаговые.
- До 7 мм — среднеочаговые.
- До 12 мм — крупноочаговые.
- От 12 мм и более — фокусные.
Пневмония на снимке, в частности затемнения, характеризуются следующим образом:
- Распространённые. Визуализируют в пределах одного сегмента.
- Субтотальные. Затемнение большей части поля органа или нескольких сегментов.
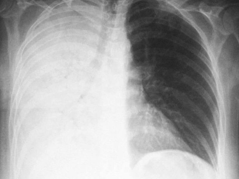
- Тотальные. Патологический процесс охватывает всю область лёгочной ткани. Сильная пневмония слева
Дифференциация пневмонии от других патологий лёгких
Важным этапом постановки диагноза остаётся отличие её от других заболеваний лёгких, коронавируса. Так, при бронхите будет отсутствовать затемнение на снимке, вместо этого — усиление лёгочного рисунка.
Усиление лёгочного рисунка
В случае присутствия инородного тела, наблюдается затемнение с чёткими краями, локализующееся в нижней доле лёгкого. Спутать с воспалением типичного характера сложно.
При плеврите, на снимке скопление экссудата в поражённой области. Плеврит выступает в качестве осложнения недолеченной пневмонии.
При пневмотораксе присутствует характерный уровень жидкости. На снимке отображается как просветление, лёгочный рисунок не просматривается.
Рентгеновский снимок является основным обследованием, а в случае необходимости назначается компьютерная томография.
Пневмония на детских рентген-снимках
Пневмония на рентгенограмме у пациентов детского возраста не имеет выраженных отличий от взрослых, патология также характеризуется очагами просветления и затемнения. У детей в воспалительный процесс вовлекаются нижние отделы лёгких.
Рентгенография показывает следующее:
- очаговые затемнения диаметром 1-2 мм;
- увеличение внутригрудных лимфоузлов;
- деформация и усиление лёгочно-сосудистого рисунка;
- повышенная плотность затемнения (запущенная патология);
- в области патологического очага изменяется структура и размер лёгочного корня.
Хоть общая картина детского рентгена не различается от взрослого, некоторая разница имеется. Первое — повышенная реактивность функций иммунной системы. Поэтому даже незначительный инфильтрат способен спровоцировать воспалительную реакцию на обеих долях лёгкого.
При постановке диагноза ребёнку можно ошибиться, что связано с небольшим объёмом лёгочной ткани и повышенным присутствием лёгочного рисунка.
Можно ли не проводить рентгенографию при воспалении лёгких? Действительно, диагностика при подозрении на пневмонию не является обязательным исследованием. Но отказ от рентгенограммы не даст врачу установить диагноз, а следовательно — назначить адекватное лечение.
Видео
https://youtube.com/watch?v=D1tuDHsa14s
Рентгенограмма – самый распространенный метод исследования при выявлении заболеваний дыхательных путей и органов грудной клетки. Дело в том, что рентгеновский снимок позволяет оперативно выявить изменения в органах грудной полости и своевременно начать лечение. Неудивительно, что при подозрении на пневмонию назначается рентгенограмма.
Пневмония на рентгене обычно видна очень хорошо. Лишь иногда для постановки диагноза приходится прибегать к другим методам исследования, когда нужно отличить бронхит и раннюю стадию пневмонии. Рентген в этом случае не всегда эффективен.
Рентген легких при пневмонии следует назначать сразу же после выявления хрипов у пациента. Но его обязательно нужно дополнить классическими бактериальными исследованиями для дифференциации диагноза.
Рентген при пневмонии очень эффективен, но назначать его все же следует только при появлении выраженных симптомов заболевания, так как лишнее рентгеновское излучение пользы организму не несет.
Показания и противопоказания
Рентгенологическое исследование назначается тогда, когда сильный кашель у пациента дополняется значительным отделением мокроты, повышением температуры тела. Кроме того, анализы крови должны показывать явный лейкоцитоз, указывающий на развитие в организме воспалительного процесса. При этом пневмония на рентгеновских снимках в зависимости от формы заболевания выглядит по-разному.
Очаговая и крупозная формы могут потребовать дополнительных рентгенограмм. По ним доктора отслеживают прогресс лечения болезни.
Как правило, рентген легких врачи назначают при первых подозрениях на развитие воспаления в органах дыхания. При этом врачи всегда учитывают общее состояние пациента. Они не забывают о том вреде, который может нанести рентгенография. Собственно, общее состояние пациента – это и есть единственное ограничение. Конкретных противопоказаний рентген легких не имеет.
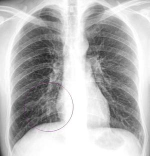
Очаговая пневмония на рентгене
Очаговая форма болезни проявляется легким лейкоцитозом, незначительными хрипами при дыхании и гипертермией. На начальном этапе развития заболевания его следы можно не обнаружить на рентгеновском снимке. Однако, опытный доктор может заподозрить заболевание по следующим косвенным признакам, видимым на снимках:
- Наличие теней.
- Признаки плеврита на рентгене.
- Увеличение размеров корня легкого.
- Нарушение структуры рисунка легочной ткани.
Читайте также:
Почему в армии часто болеют пневмонией
Проще всего пневмония на снимке выявляется в разгар болезни. На снимках становятся отчетливо видны очаги воспаления в виде темных пятен. Воспалительный процесс выгоняет из легочной ткани воздух, что делает ее более плотной. Появляются следующие признаки болезни:
- Отчетливые инфильтраты.
- Тени приобретают нечеткие контуры.
- На стороне пораженной доли легкого в плевре возможно появление жидкости, которая отлично видна на снимках.
На стадии выздоровления признаки заболевания на рентгене постепенно уходят:
- Исчезают инфильтраты.
- Признаки жидкости в плевре исчезают.
Стоит отметить, что даже после выздоровления на рентгене в течение нескольких месяцев все еще будет наблюдаться деформация рисунка легочной ткани.
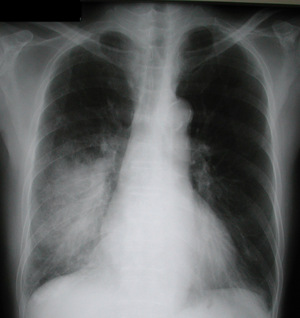
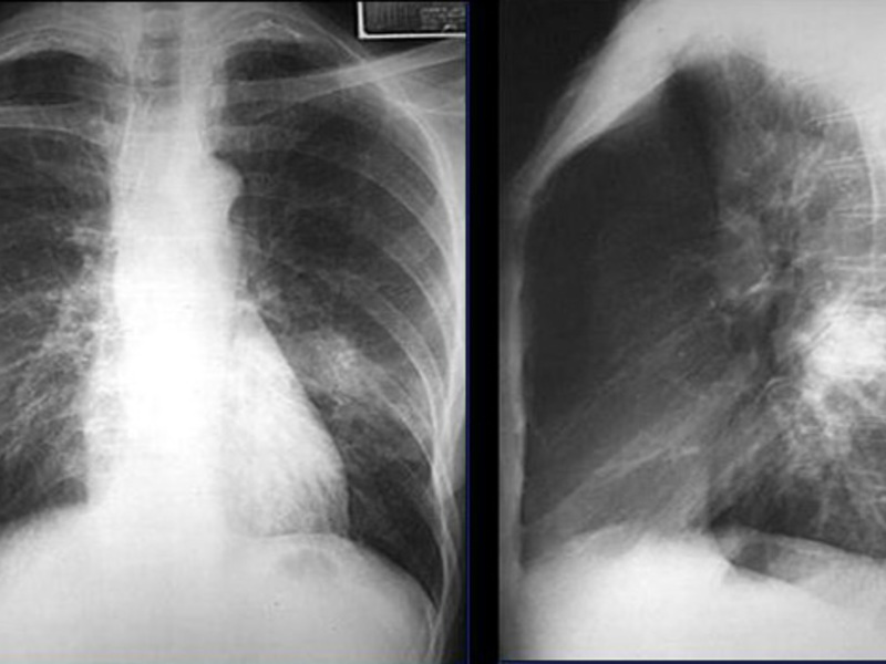
Крупозная пневмония на рентгене
При слиянии отдельных очагов воспаления легочной ткани возникает крупозная пневмония. Фото рентгеновского снимка, сделанного при этой форме заболевания, наглядно показывает отличия.
Как правило, при крупозной форме воспаления легких поражается одна или несколько долей легких сразу. Это создает серьезную угрозу жизни пациента.
На рентгене крупозная форма болезни проявляется следующими признаками:
- Ярко выраженные крупные тени, затрагивающие доли легкого целиком. Могут быть поражены оба легкого.
- Средостение смещается в сторону наиболее воспаленного легкого.
- На куполах диафрагмы отчетливо видны признаки деформации.
- Рисунок легочной ткани может не просматриваться.
Крупозная пневмония легче всего выявляется при рентгенологическом исследовании. Тем не менее для постановки точного диагноза врачи предпочитают делать рентгеновские снимки в двух проекциях. Это дает им возможность определить число пораженных воспалением сегментов органа и определить состояние средостения.
Атипичная пневмония на рентгене
Атипичная форма болезни характеризуется тем, что ее клиническая картина не соответствует картине на рентгеновском снимке. Это создает некоторые трудности при постановке точного диагноза.
Самый яркий пример атипичной пневмонии – микоплазменная форма болезни. На снимке она проявляется значительным очагом поражения. В патологический процесс вовлекается целая доля. Однако, при этом температура тела у пациента повышается незначительно. Кашель его не душит. Вместо болей в легких он жалуется на боль в горле.
Особняком стоят неинфекционные пневмонии. Например, инфаркт-пневмония. Эта форма болезни развивается из-за проникновения в легкое тромба из легочной артерии. На снимке такое поражение имеет четкие контуры, из-за чего его можно спутать с инородным телом в легких.
С чем чаще всего путают пневмонию?
Рентгенологическое исследование позволяет отличить воспаление легких от следующих заболеваний:
- Бронхит. При этом заболевании затенения легочной ткани на снимке нет, но в корнях легкого просматриваются тяжи соединительной ткани. Из-за этого его часто путают с прикорневым воспалением легочной ткани, которое на рентгене дает картину тяжелого бронхита.
- Наличие инородного тела. Если оно действительно попало в легкие, то его тень на снимке будет находиться в нижних отделах легкого, в то время как пневмония чаще зарождается в верхних отделах. Тем не менее инородное тело нередко путают с инфаркт-пневмонией.
- Плеврит. Эта патология в большинстве случаев появляется, если человек не лечил пневмонию либо лечил неправильно.
- Гемоторакс и пневмоторакс. У этих патологических состояний на снимках нет сходства с пневмонией, но есть один общий симптом – сильна боль в груди при дыхании.
Рентгеновские снимки при пневмонии у детей
У детей это заболевание на снимках выглядит немного иначе, чем у взрослых. Это объясняется тем, что организм ребенка реагирует на любое воспаление намного острее. Даже самый маленький инфильтрат может стать причиной крупозной формы болезни.
На рентгеновском снимке воспаление легкого у ребенка выглядит следующим образом:
- Очаги затенения локализуются в нижних отделах легких.
- Размеры инфильтратов очень маленькие. Чем выше их плотность, тем тяжелее болезнь.
- В средостении отмечается увеличение лимфатических узлов. Это отчетливо видно на рентгене.
- Участки поражения могут смазывать структуру корня легкого и полностью скрывать рисунок легочной ткани.
Из-за того, что у детей легочная ткань нередко вздувается без всякого воспаления, диагностировать пневмонию на начальных стадиях развития с помощью рентгеновских снимков бывает достаточно сложно. Кроме того, правильную диагностику при пневмонии у детей мешает поставить малый объем легочной ткани.
https://youtube.com/watch?v=MCvf-qaVIXc
Заключение
Несмотря на популярность рентгенограммы как инструмента исследования при пневмонии, рентген все же не является основным диагностическим средством. Он позволяет выявить некоторые характерные признаки и не упустить из виду особенности течения заболевания. Для постановки точного диагноза требуется изучить клиническую картину болезни и оценить тяжесть симптомов.
Пневмония на рентгеновском снимке























