У ребенка на десне обнаружился свищ? В такой ситуации родителям нужно не впадать в панику, не пытаться лечить болезнь самостоятельно, а посетить специалиста. Зная особенности течения этого заболевания и своевременно принимаясь за его лечение, можно избежать неприятных последствий для дальнейшего формирования зубов.
Причины формирования свища
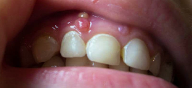
Свищом называют небольшое отверстие в десне, канал, через который на поверхность десны выходит гной и токсины. Чаще всего такое новообразование появляется у корня молочного зуба. Оно может быть болезненным, нередко приводит к потере молочных или коренных зубов у детей и во всех случаях требует квалифицированного лечения. Свищ можно визуально спутать с кистой или другим схожим образованием. Однако полноценная диагностика, проведенная дантистом, дает возможность точно установить форму и причину заболевания, а также назначить эффективную терапию.
Появление свища у ребенка на десне — это симптом, указывающий на наличие воспалительного процесса в организме. В числе наиболее распространенных причин, провоцирующих его возникновение, называют:
- кариес молочных зубов, в том числе его осложнение — гранулированная форма периодонтита;
- нагноение на десне;
- одонтогенная форма гайморита, при которой наблюдается воспаление верхнечелюстных пазух;
- воспалительные процессы, связанные с невозможностью прорезывания коренных зубов из-за особенностей строения челюсти;
- осложнения после неправильного пломбирования молочных зубов, в том числе, неполного заполнения каналов;
- остеомиелит — поражение кости инфекционной природы;
- кисту, переродившуюся в свищ при распространении инфекции.
Сопроводительными факторами развития этого недуга считают низкий иммунитет ребенка, недостаток в организме необходимых элементов для правильного формирования зубов и десны, а также несоблюдение гигиенических требований (ведь именно попадание в полость инфекции в подавляющем большинстве случаев приводит к началу воспалительных процессов).
Симптомы и диагностика болезни
Свищ на десне у ребенка достаточно легко определить в ходе визуального осмотра, поскольку эта болезнь имеет немало специфических характерных признаков. На развитие этого заболевания указывают следующие типичные симптомы:
- зубная боль, усиливающаяся при надавливании на зуб либо попадании в полость пищи;
- подвижность зуба;
- отек, а также покраснение десны в месте образования свища;
- неприятный запах изо рта;
- выделение гноя при надавливании на воспаленную область.
В тяжелых случаях данное заболевание может сопровождаться повышением температуры, общим недомоганием, повышенной утомляемостью.
Что делать родителям, обнаружив новообразование? Важно сразу обратиться к дантисту и пройти лечение.
Свищ – проблема, которую стоматолог может быстро и легко изучить, используя такие методики исследований: визуальный осмотр, зондирование, рентгенография. Задачей специалиста при обращении с такой жалобой будет установка причины заболевания, стадии поражения тканей, а также подбор адекватных методов устранения проблемы. Как правило, решить все вопросы при таком диагнозе можно за 1-2 посещения.
Лечение
В зависимости от причин возникновения свища, особенностей течения заболевания, общего самочувствия ребенка, врач может назначить один из трех видов лечения:
- Терапевтическое. Назначается в том случае, если свищ образовался непосредственно возле коренного зуба. Предполагает удаление пораженной части зуба, очищение каналов и установку временной пломбы. Если лечение проходит успешно, во время повторного приема устанавливают постоянную пломбу и назначают профилактические полоскания.
- Медикаментозное. Основой данного метода является применение антигистаминных, антибактериальных препаратов общего назначения, а также местных средств — гелей и мазей (к примеру, «Холисала»), а также растворов для полоскания. Продолжительность приема препаратов, а также их перечень врач устанавливает в зависимости от причины формирования свища.
- Хирургическое. Предпочтительно при запущенной форме заболевания, предполагает удаление пораженного зуба и выскабливание гноя из образовавшейся полости. Может проводиться как классическим методом, так и при помощи лазера, позволяющего удалить пораженные ткани безболезненно и без применения обезболивающего. Хирургическое лечение зуба в подавляющем большинстве случаев оказывается наиболее эффективным и проходит без осложнений.
При правильном подборе методов лечения болезнь удается быстро побороть, и в дальнейшем рецидивов она давать не будет. Залогом же быстрого и безболезненного решения проблемы всегда будет являться своевременное обращение к врачу. Ведь чем раньше родители на свищ обратят внимание, тем больше шансов у медика успешно справиться с болезнью, не удаляя ребенку зуб.
Лечение свища народными средствами
Не всегда у родителей есть возможность своевременно обратиться к медикам. В таком случае ребенку можно оказать помощь народными средствами. Наиболее эффективными при лечении свища возле молочного зуба будут следующие средства:
- Настои коры дуба, шалфея и ромашки, приготовленные в пропорциях 10 гр каждого составляющего на 100 мл воды.
- Мази из облепихового масла и лекарственных трав.
- Отвары цветков календулы земляники, зверобоя, также приготовленные в пропорциях 10 гр на 100 мл воды, применяемые для полоскания.
С осторожностью нужно подходить к применению без назначения дантиста таких средств, как сок алоэ или мазь Вишневского, поскольку нередко они не полностью вытягивают гной из полости, что приводит к осложнениям.
Возможные осложнения
Не всегда родителям удается своевременно выявить новообразовавшийся свищ и быстро обратиться за помощью, ведь симптомы болезни на первых стадиях малозаметны. Между тем на поздних стадиях она может стать причиной появления таких осложнений как:
- флюс;
- гайморит гнойный;
- воспалительные процессы в желудочно-кишечном тракте в результате проглатывания гноя;
- появление отверстия в щеке в результате поражения мягких тканей около зуба.
Лечить подобные осложнения в домашних условиях не рекомендовано. При появлении их первых симптомов необходимо скорее обращаться к врачу.
В целом же свищ на десне у ребенка можно предотвратить, уделяя внимание рациону и соблюдению гигиенических норм малышом, а также успешно лечить, вовремя диагностировав болезнь. А для этого нужно соблюдать общие рекомендации специалиста и своевременно проходить профилактические осмотры. И тогда недуг вряд ли вас потревожит.
